• Tel: 858.663.9055
  • SeparatorEmail: info@nsjbio.com
  • Tel: 858.663.9055
  • Email: info@nsjbio.com
Home >> Antibodies >> RBFOX2 Antibody / RNA binding protein fox-1 homolog 2 / RBM9

RBFOX2 Antibody / RNA binding protein fox-1 homolog 2 / RBM9 (RQ8204)

  Catalog No Formulation Size Price (USD)  
Image RQ8204 0.5mg/ml if reconstituted with 0.2ml sterile DI water 100 ug 439
Bulk quote request
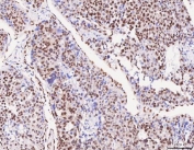
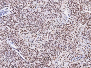
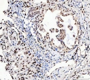
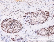
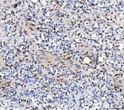
IHC staining of FFPE human ovarian serous adenocarcinoma tissue with RBFOX2 antibody. HIER: boil tissue sections in pH8 EDTA for 20 min and allow to cool before testing.
IHC staining of FFPE human liver cancer tissue with RBFOX2 antibody. HIER: boil tissue sections in pH8 EDTA for 20 min and allow to cool before testing.
IHC staining of FFPE human esophageal squamous carcinoma tissue with RBFOX2 antibody. HIER: boil tissue sections in pH8 EDTA for 20 min and allow to cool before testing.
IHC staining of FFPE human cortical adenoma tissue with RBFOX2 antibody. HIER: boil tissue sections in pH8 EDTA for 20 min and allow to cool before testing.
IHC staining of FFPE human lung cancer tissue with RBFOX2 antibody. HIER: boil tissue sections in pH8 EDTA for 20 min and allow to cool before testing.
IHC staining of FFPE mouse kidney tissue with RBFOX2 antibody. HIER: boil tissue sections in pH8 EDTA for 20 min and allow to cool before testing.
Immunofluorescent staining of FFPE human lung cancer tissue with RBFOX2 antibody (red). HIER: steam section in pH8 EDTA buffer for 20 min.
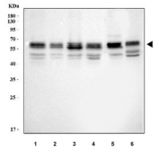
Western blot testing of 1) human U-2 OS, 2) Caco-2, 3) A431, 4) human U-87 MG, 5) rat C6 and 6) mouse NIH 3T3 cell lysate with RBFOX2 antibody. Predicted molecular weight ~41 kDa.
Flow cytometry testing of fixed and permeabilized human SH-SY5Y cells with RBFOX2 antibody at 1ug/million cells (blocked with goat sera); Red=cells alone, Green=isotype control, Blue= RBFOX2 antibody.
Availability 1-3 business days
Species Reactivity Human, Mouse, Rat
Format Antigen affinity purified
Clonality Polyclonal (rabbit origin)
Isotype Rabbit IgG
Purity Antigen affinity purified
Buffer Lyophilized from 1X PBS with 2% Trehalose
UniProt O43251
Localization Nuclear, cytoplasmic
Applications Western Blot : 0.5-1ug/ml
Immunohistochemistry (FFPE) : 2-5ug/ml
Immunofluorescence : 5ug/ml
Flow Cytometry : 1-3ug/million cells
Direct ELISA : 0.1-0.5ug/ml
Limitations This RBFOX2 antibody is available for research use only.
Review this product on BioCompare and get a $20 Amazon gift card

Related Products

  • Applications : WB, IHC-P, IF, Direct ELISA
    Reactivity : Human, Mouse, Rat

Description

RNA binding motif protein 9 (RBM9), also known as Rbfox2, is a protein which in humans is encoded by the RBM9 gene. It is mapped to 22q12.3. This gene is one of several human genes similar to the C. elegans gene Fox-1. This gene encodes an RNA binding protein that is thought to be a key regulator of alternative exon splicing in the nervous system and other cell types. The protein binds to a conserved UGCAUG element found downstream of many alternatively spliced exons and promotes inclusion of the alternative exon in mature transcripts. The protein also interacts with the estrogen receptor 1 transcription factor and regulates estrogen receptor 1 transcriptional activity. Multiple transcript variants encoding different isoforms have been found for this gene.

Application Notes

Optimal dilution of the RBFOX2 antibody should be determined by the researcher.

Immunogen

E. coli-derived recombinant human protein (amino acids M1-Y256) was used as the immunogen for the RBFOX2 antibody.

Storage

After reconstitution, the RBFOX2 antibody can be stored for up to one month at 4oC. For long-term, aliquot and store at -20oC. Avoid repeated freezing and thawing.

Cross
Bulk Quote Request Form
Name*:
Organization*:
Email*:
Phone Number*:
Catalog No.*:
Comments and Specifics(amount, formulation, etc.)*:
Validation code: Captchapackage Image


Can't read the image? click here to refresh.
    *required field

Your bulk quote request has been submitted successfully!

Please contact us if you have any questions.