- Tel: 858.663.9055
- 
									 Email: info@nsjbio.com Email: info@nsjbio.com
- Tel: 858.663.9055
- Email: info@nsjbio.com
 Email: info@nsjbio.com
Email: info@nsjbio.com
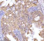
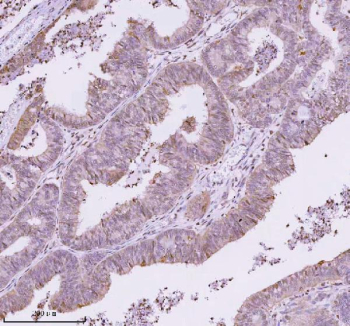
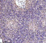
								RBBP8 antibody detects Retinoblastoma binding protein 8, encoded by the RBBP8 gene. Retinoblastoma binding protein 8, also known as CtIP, is a nuclear protein involved in DNA double-strand break repair, cell cycle regulation, and transcriptional control. RBBP8 antibody provides researchers with a powerful reagent for studying homologous recombination, genome stability, and cancer biology.
Retinoblastoma binding protein 8 interacts with the retinoblastoma protein and BRCA1, coordinating DNA repair and checkpoint activation. Research using RBBP8 antibody has shown that it promotes DNA end resection at double-strand breaks, a critical step in homologous recombination repair. This function ensures error-free repair and preservation of genomic integrity. Loss of RBBP8 activity shifts repair toward error-prone pathways, increasing mutagenesis and genomic instability.
Studies with RBBP8 antibody have revealed that CtIP plays a dual role in both DNA repair and cell cycle control. It regulates the G1-S transition and contributes to transcriptional regulation of genes involved in proliferation. Its integration of DNA repair and cell cycle progression highlights its importance as a multifunctional nuclear factor.
Dysregulation of Retinoblastoma binding protein 8 has been associated with cancer predisposition, particularly breast and ovarian cancers. Research using RBBP8 antibody has shown that germline mutations impair BRCA1-mediated repair, leading to increased sensitivity to DNA damage and genomic instability. Reduced expression is also observed in sporadic cancers, where it contributes to defective repair and therapeutic resistance.
Beyond cancer, research using RBBP8 antibody has highlighted roles in viral infection and immune regulation. CtIP interacts with viral proteins to modulate host DNA repair machinery, influencing replication and immune responses. These findings expand the biological significance of RBBP8 beyond DNA repair.
RBBP8 antibody is widely applied in immunoprecipitation, chromatin immunoprecipitation, and western blotting. Immunoprecipitation identifies interacting complexes with BRCA1 and retinoblastoma protein, chromatin immunoprecipitation reveals recruitment to DNA repair sites, and western blotting quantifies expression across tissues. These applications make RBBP8 antibody indispensable for DNA repair research.
By supplying validated RBBP8 antibody reagents, NSJ Bioreagents supports studies into DNA repair, cancer biology, and genome maintenance. Detection of Retinoblastoma binding protein 8 provides researchers with insight into how nuclear proteins safeguard genetic information.
Optimal dilution of the RBBP8 antibody should be determined by the researcher.
E.coli-derived human RBBP8 recombinant protein (Position: R307-K702) was used as the immunogen for the RBBP8 antibody.
After reconstitution, the RBBP8 antibody can be stored for up to one month at 4oC. For long-term, aliquot and store at -20oC. Avoid repeated freezing and thawing.
 
Your bulk quote request has been submitted successfully!
Please contact us if you have any questions.