• Tel: 858.663.9055
  • SeparatorEmail: info@nsjbio.com
  • Tel: 858.663.9055
  • Email: info@nsjbio.com
Home >> Antibodies >> RBBP4 Antibody / RbAp48 / NURF55

RBBP4 Antibody / RbAp48 / NURF55 (R32202)

  Catalog No Formulation Size Price (USD)  
Image R32202 0.5mg/ml if reconstituted with 0.2ml sterile DI water 100 ug 439
Bulk quote request
Immunofluorescent staining of FFPE human A431 cells with RBBP4 antibody (green) and DAPI nuclear stain (blue). HIER: steam section in pH6 citrate buffer for 20 min.
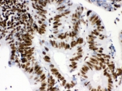
IHC testing of FFPE human intestinal cancer tissue with RBBP4 antibody. HIER: Boil the paraffin sections in pH 6, 10mM citrate buffer for 20 minutes and allow to cool prior to staining.
IHC testing of FFPE mouse liver with RBBP4 antibody. HIER: Boil the paraffin sections in pH 6, 10mM citrate buffer for 20 minutes and allow to cool prior to staining.
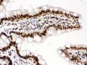
IHC testing of FFPE rat intestine with RBBP4 antibody. HIER: Boil the paraffin sections in pH 6, 10mM citrate buffer for 20 minutes and allow to cool prior to staining.
IHC testing of frozen human placental tissue with RBBP4 antibody.
IHC testing of frozen mouse small intestine tissue with RBBP4 antibody.
IHC testing of frozen mouse liver tissue with RBBP4 antibody.
IHC testing of frozen rat small intestine tissue with RBBP4 antibody.
Western blot testing of 1) rat brain, 2) mouse liver, 3) mouse lung, 4) human HeLa, 5) human Jurkat with RBBP4 antibody. Expected molecular weight: 48~55 kDa.
Flow cytometry testing of human 293T cells with RBBP4 antibody at 1ug/million cells (blocked with goat sera); Red=cells alone, Green=isotype control, Blue= RBBP4 antibody.
Availability 1-3 business days
Species Reactivity Human, Mouse, Rat
Format Antigen affinity purified
Clonality Polyclonal (rabbit origin)
Isotype Rabbit IgG
Purity Antigen affinity
Buffer Lyophilized from 1X PBS with 2.5% BSA, 0.025% sodium azide
UniProt Q09028
Localization Nuclear
Applications Western Blot : 0.1-0.5ug/ml
Immunohistochemistry (FFPE) : 0.5-1ug/ml
Immunohistochemistry (Frozen) : 0.5-1ug/ml
Immunofluorescence (FFPE) : 2-4ug/ml
Flow Cytometry : 1-3ug/million cells
Limitations This RBBP4 antibody is available for research use only.
Review this product on BioCompare and get a $20 Amazon gift card

Related Products

Description

Retinoblastoma binding protein 4 (also known as RbAp48, or NURF55) is a protein that in humans is encoded by the RBBP4 gene. This gene encodes a ubiquitously expressed nuclear protein which belongs to a highly conserved subfamily of WD-repeat proteins. It is present in protein complexes involved in histone acetylation and chromatin assembly. And it is part of the Mi-2 complex which has been implicated in chromatin remodeling and transcriptional repression associated with histone deacetylation. This encoded protein is also part of co-repressor complexes, which is an integral component of transcriptional silencing. It is found among several cellular proteins that bind directly to retinoblastoma protein to regulate cell proliferation. This protein also seems to be involved in transcriptional repression of E2F-responsive genes. Three transcript variants encoding different isoforms have been found for this gene.

Application Notes

Optimal dilution of the RBBP4 antibody should be determined by the researcher.

Immunogen

Amino acids EDNIMQVWQMAENIYNDEDPEGSVDPEGQGS of human Retinoblastoma binding protein 4 were used as the immunogen for the RBBP4 antibody.

Storage

After reconstitution, the RBBP4 antibody can be stored for up to one month at 4oC. For long-term, aliquot and store at -20oC. Avoid repeated freezing and thawing.

Cross
Bulk Quote Request Form
Name*:
Organization*:
Email*:
Phone Number*:
Catalog No.*:
Comments and Specifics(amount, formulation, etc.)*:
Validation code: Captchapackage Image


Can't read the image? click here to refresh.
    *required field

Your bulk quote request has been submitted successfully!

Please contact us if you have any questions.