• Tel: 858.663.9055
  • SeparatorEmail: info@nsjbio.com
  • Tel: 858.663.9055
  • Email: info@nsjbio.com
Home >> Antibodies >> RbAp48 Antibody / RBBP4 / NURF55

RbAp48 Antibody / RBBP4 / NURF55 [clone 9F3] (RQ4496)

  Catalog No Formulation Size Price (USD)  
Image RQ4496 0.5mg/ml if reconstituted with 0.2ml sterile DI water 100 ug 439
Bulk quote request
Western blot testing of human 1) A549, 2) Jurkat, 3) HeLa and 4) PANC-1 lysate with RbAp48 antibody at 0.5ug/ml. Expected molecular weight: 48~55 kDa.
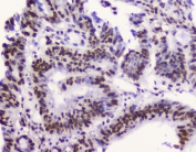
IHC testing of FFPE human intestinal cancer with RbAp48 antibody. HIER: boil tissue sections in pH6, 10mM citrate buffer, for 10-20 min followed by cooling at RT for 20 min.
IHC testing of FFPE human placenta with RbAp48 antibody. HIER: boil tissue sections in pH6, 10mM citrate buffer, for 10-20 min followed by cooling at RT for 20 min.
Availability 1-3 business days
Species Reactivity Human
Format Purified
Clonality Monoclonal (mouse origin)
Isotype Mouse IgG1
Clone Name 9F3
Purity Protein G affinity
Buffer Lyophilized from 1X PBS with 2% Trehalose and 0.025% sodium azide
UniProt Q09028
Localization Nucleus
Applications Western Blot : 0.5-1ug/ml
Immunohistochemistry (FFPE) : 1-2ug/ml
Limitations This RbAp48 antibody is available for research use only.
Review this product on BioCompare and get a $20 Amazon gift card

Related Products

Description

Histone-binding protein RBBP4 (also known as RbAp48, or NURF55) is a protein that in humans is encoded by the RBBP4 gene. This gene encodes a ubiquitously expressed nuclear protein which belongs to a highly conserved subfamily of WD-repeat proteins. It is present in protein complexes involved in histone acetylation and chromatin assembly. And it is part of the Mi-2 complex which has been implicated in chromatin remodeling and transcriptional repression associated with histone deacetylation. This encoded protein is also part of co-repressor complexes, which is an integral component of transcriptional silencing. It is found among several cellular proteins that bind directly to retinoblastoma protein to regulate cell proliferation. This protein also seems to be involved in transcriptional repression of E2F-responsive genes. Three transcript variants encoding different isoforms have been found for this gene.

Application Notes

Optimal dilution of the RbAp48 antibody should be determined by the researcher.

Immunogen

Amino acids EDNIMQVWQMAENIYNDEDPEGSVDPEGQGS were used as the immunogen for the RbAp48 antibody.

Storage

After reconstitution, the RbAp48 antibody can be stored for up to one month at 4oC. For long-term, aliquot and store at -20oC. Avoid repeated freezing and thawing.

Cross
Bulk Quote Request Form
Name*:
Organization*:
Email*:
Phone Number*:
Catalog No.*:
Comments and Specifics(amount, formulation, etc.)*:
Validation code: Captchapackage Image


Can't read the image? click here to refresh.
    *required field

Your bulk quote request has been submitted successfully!

Please contact us if you have any questions.