• Tel: 858.663.9055
  • SeparatorEmail: info@nsjbio.com
  • Tel: 858.663.9055
  • Email: info@nsjbio.com
Home >> Antibodies >> RARB Antibody / Retinoic Acid Receptor beta

RARB Antibody / Retinoic Acid Receptor beta [clone AEHH-18] (RQ5337)

  Catalog No Formulation Size Price (USD)  
Image RQ5337 Antibody in PBS with 0.02% sodium azide, 50% glycerol and 0.4-0.5mg/ml BSA 100 ul 439
Microvalidated Rab Mono Image
Bulk quote request
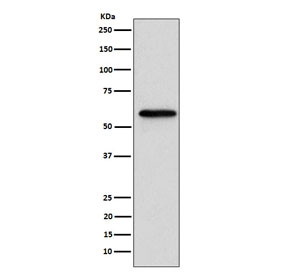
Western blot testing of human MCF7 cell lysate with RARB antibody. Predicted molecular weight ~51 kDa.
Availability 1-2 weeks
Species Reactivity Human
Format Purified
Clonality Rabbit Monoclonal
Isotype Rabbit IgG
Clone Name AEHH-18
Purity Affinity purified
UniProt P10826
Applications Western Blot : 1:500-1:2000
Limitations This RARB antibody is available for research use only.
Review this product on BioCompare and get a $20 Amazon gift card

Description

The RARB gene encodes retinoic acid receptor beta, a member of the thyroid-steroid hormone receptor superfamily of nuclear transcriptional regulators. This receptor localizes to the cytoplasm and to subnuclear compartments. It binds retinoic acid, the biologically active form of vitamin A which mediates cellular signalling in embryonic morphogenesis, cell growth and differentiation. It is thought that this protein limits growth of many cell types by regulating gene expression. The gene was first identified in a hepatocellular carcinoma where it flanks a hepatitis B virus integration site. Alternate promoter usage and differential splicing result in multiple transcript variants. [RefSeq]

Application Notes

Optimal dilution of the RARB antibody should be determined by the researcher.

Immunogen

A synthetic peptide specific to human Retinoic Acid Receptor beta / RARB was used as the immunogen for the RARB antibody.

Storage

Store the RARB antibody at -20oC.

Cross
Bulk Quote Request Form
Name*:
Organization*:
Email*:
Phone Number*:
Catalog No.*:
Comments and Specifics(amount, formulation, etc.)*:
Validation code: Captchapackage Image


Can't read the image? click here to refresh.
    *required field

Your bulk quote request has been submitted successfully!

Please contact us if you have any questions.