• Tel: 858.663.9055
  • SeparatorEmail: info@nsjbio.com
  • Tel: 858.663.9055
  • Email: info@nsjbio.com
Home >> Antibodies >> RAR alpha Antibody / RARA

RAR alpha Antibody / RARA (F54372)

  Catalog No Formulation Size Price (USD)  
Image F54372-0.4ML In 1X PBS, pH 7.4, with 0.09% sodium azide 0.4 ml 429
Image
F54372-0.08ML In 1X PBS, pH 7.4, with 0.09% sodium azide 0.08 ml 199
Bulk quote request
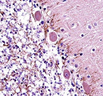
IHC testing of FFPE mouse cerebellum tissue with RAR alpha antibody. HIER: steam section in pH6 citrate buffer for 20 min and allow to cool prior to staining.
Immunofluorescent staining of fixed and permeabilized human MCF7 cells with Cytokeratin 18 antibody (green) and DAPI nuclear stain (blue).
Western blot testing of 1) human HL60 and 2) mouse testis lysate with RAR alpha antibody. Predicted molecular weight ~51 kDa.
Western blot testing of human 1) HL60, 2) MCF7, 3) HepG2, 4) HeLa and 5) T-47D cell lysate with RAR alpha antibody. Predicted molecular weight ~51 kDa.
Flow cytometry testing of human HeLa cells with RAR alpha antibody; Blue=isotype control, Green= RAR alpha antibody.
Availability 1-3 business days
Species Reactivity Human, Mouse
Format Purified
Clonality Polyclonal (rabbit origin)
Isotype Rabbit Ig
Purity Antigen affinity purified
UniProt P10276
Applications Western Blot : 1:500-1:2000
Flow Cytometry : 1:25 (1x10e6 cells)
Immunohistochemistry (FFPE) : 1:25
Immunofluorescence : 1:25
Limitations This RAR alpha antibody is available for research use only.
Review this product on BioCompare and get a $20 Amazon gift card

Related Products

Description

This gene represents a nuclear retinoic acid receptor. The encoded protein, retinoic acid receptor alpha, regulates transcription in a ligand-dependent manner. This gene has been implicated in regulation of development, differentiation, apoptosis, granulopoeisis, and transcription of clock genes. Translocations between this locus and several other loci have been associated with acute promyelocytic leukemia. Alternatively spliced transcript variants have been found for this locus.

Application Notes

The stated application concentrations are suggested starting points. Titration of the RAR alpha antibody may be required due to differences in protocols and secondary/substrate sensitivity.

Immunogen

A portion of amino acids 322-349 from the human protein were used as the immunogen for the RAR alpha antibody.

Storage

Aliquot the RAR alpha antibody and store frozen at -20oC or colder. Avoid repeated freeze-thaw cycles.

Cross
Bulk Quote Request Form
Name*:
Organization*:
Email*:
Phone Number*:
Catalog No.*:
Comments and Specifics(amount, formulation, etc.)*:
Validation code: Captchapackage Image


Can't read the image? click here to refresh.
    *required field

Your bulk quote request has been submitted successfully!

Please contact us if you have any questions.