• Tel: 858.663.9055
  • SeparatorEmail: info@nsjbio.com
  • Tel: 858.663.9055
  • Email: info@nsjbio.com
Home >> Antibodies >> RAPGEF4 Antibody / EPAC 2

RAPGEF4 Antibody / EPAC 2 [clone 22R17] (RQ8906)

  Catalog No Formulation Size Price (USD)  
Image RQ8906 Antibody in PBS with 0.02% sodium azide, 50% glycerol and 0.4-0.5mg/ml BSA 100 ul 439
Microvalidated Recrabbitmono
Bulk quote request
IHC staining of FFPE rat cerebellum tissue with RAPGEF4 antibody, HRP-secondary and DAB substrate. HIER: boil tissue sections in pH8 EDTA for 20 min and allow to cool before testing.
IHC staining of FFPE mouse cerebellum tissue with RAPGEF4 antibody, HRP-secondary and DAB substrate. HIER: boil tissue sections in pH8 EDTA for 20 min and allow to cool before testing.
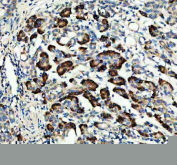
IHC staining of FFPE human pancreas cancer tissue with RAPGEF4 antibody, HRP-secondary and DAB substrate. HIER: boil tissue sections in pH8 EDTA for 20 min and allow to cool before testing.
Western blot testing of human fetal brain tissue lysate with RAPGEF4 antibody. Predicted molecular weight ~115 kDa.
Availability 1-3 days
Species Reactivity Human, Mouse, Rat
Format Purified
Clonality Recombinant Rabbit Monoclonal
Isotype Rabbit IgG
Clone Name 22R17
Purity Affinity chromatography
UniProt Q8WZA2
Localization Cytoplasm
Applications Western Blot : 1:500
Immunohistochemistry (FFPE) : 1:50
Limitations This RAPGEF4 antibody is available for research use only.
Review this product on BioCompare and get a $20 Amazon gift card

Description

Rap guanine nucleotide exchange factor 4 (RAPGEF4), also known as EPAC 2 (Exchange protein directly activated by cAMP 2), is a cAMP-regulated guanine nucleotide exchange factor that activates Rap1 and Rap2 small GTPases. Unlike protein kinase A, RAPGEF4 mediates cAMP signaling through a PKA-independent pathway, influencing processes such as cell adhesion, insulin secretion, and synaptic plasticity.

RAPGEF4 is expressed predominantly in the brain and endocrine tissues, where it contributes to learning and memory, hormone release, and neuronal signaling. Altered RAPGEF4 function has been implicated in metabolic disorders, neuropsychiatric conditions, and cancer, making it a significant target for biomedical research.

Using a high-quality RAPGEF4 antibody allows for sensitive detection in applications such as western blot, immunohistochemistry, and immunofluorescence. A RAPGEF4 antibody from NSJ Bioreagents ensures reliable and reproducible performance for studies in cAMP signaling, neuronal function, and endocrine regulation. Selecting the right RAPGEF4 antibody is essential for achieving accurate and consistent experimental results.

Application Notes

Optimal dilution of the RAPGEF4 antibody should be determined by the researcher.

Immunogen

A peptide sequence specific to Rap guanine nucleotide exchange factor 4 protein was used as the immunogen for the RAPGEF4 antibody.

Storage

After reconstitution, the RAPGEF4 antibody can be stored for up to one month at 4oC. For long-term, aliquot and store at -20oC. Avoid repeated freezing and thawing.

Cross
Bulk Quote Request Form
Name*:
Organization*:
Email*:
Phone Number*:
Catalog No.*:
Comments and Specifics(amount, formulation, etc.)*:
Validation code: Captchapackage Image


Can't read the image? click here to refresh.
    *required field

Your bulk quote request has been submitted successfully!

Please contact us if you have any questions.