• Tel: 858.663.9055
  • SeparatorEmail: info@nsjbio.com
  • Tel: 858.663.9055
  • Email: info@nsjbio.com
Home >> Antibodies >> RAP1GAP Antibody / Rap1 GTPase-activating protein 1

RAP1GAP Antibody / Rap1 GTPase-activating protein 1 (RQ7785)

  Catalog No Formulation Size Price (USD)  
Image RQ7785 0.5mg/ml if reconstituted with 0.2ml sterile DI water 100 ug 439
Bulk quote request
Immunofluorescent staining of FFPE human A549 cells with RAP1GAP antibody (red) and DAPI nuclear stain (blue). HIER: steam section in pH6 citrate buffer for 20 min.
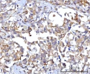
IHC staining of FFPE human gastric adenocarcinoma tissue with RAP1GAP antibody. HIER: boil tissue sections in pH8 EDTA for 20 min and allow to cool before testing.
IHC staining of FFPE human ovary serous carcinoma tissue with RAP1GAP antibody. HIER: boil tissue sections in pH8 EDTA for 20 min and allow to cool before testing.
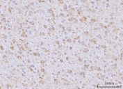
IHC staining of FFPE mouse brain tissue with RAP1GAP antibody. HIER: boil tissue sections in pH8 EDTA for 20 min and allow to cool before testing.
IHC staining of FFPE rat brain tissue with RAP1GAP antibody. HIER: boil tissue sections in pH8 EDTA for 20 min and allow to cool before testing.
Western blot testing of 1) human HeLa, 2) human K562, 3) human SH-SY5Y, 4) rat brain and 5) mouse brain tissue lysate with RAP1GAP antibody. Predicted molecular weight ~73 kDa with the phosphorylated forms observed at up to 95 kDa.
Flow cytometry testing of human MCF7 cells with RAP1GAP antibody at 1ug/million cells (blocked with goat sera); Red=cells alone, Green=isotype control, Blue= RAP1GAP antibody.
Availability 1-3 business days
Species Reactivity Human, Mouse, Rat
Format Antigen affinity purified
Clonality Polyclonal (rabbit origin)
Isotype Rabbit IgG
Purity Antigen affinity purified
Buffer Lyophilized from 1X PBS with 2% Trehalose
UniProt P47736
Localization Cytoplasm
Applications Western Blot : 0.5-1ug/ml
Immunohistochemistry (FFPE) : 2-5ug/ml
Immunofluorescence : 5ug/ml
Flow Cytometry : 1-3ug/million cells
Direct ELISA : 0.1-0.5ug/ml
Limitations This RAP1GAP antibody is available for research use only.
Review this product on BioCompare and get a $20 Amazon gift card

Description

Rap1 GTPase-activating protein 1 is an enzyme that in humans is encoded by the RAP1GAP gene. This gene encodes a type of GTPase-activating-protein (GAP) that down-regulates the activity of the ras-related RAP1 protein. RAP1 acts as a molecular switch by cycling between an inactive GDP-bound form and an active GTP-bound form. The product of this gene, RAP1GAP, promotes the hydrolysis of bound GTP and hence returns RAP1 to the inactive state whereas other proteins, guanine nucleotide exchange factors (GEFs), act as RAP1 activators by facilitating the conversion of RAP1 from the GDP- to the GTP-bound form. In general, ras subfamily proteins, such as RAP1, play key roles in receptor-linked signaling pathways that control cell growth and differentiation. RAP1 plays a role in diverse processes such as cell proliferation, adhesion, differentiation, and embryogenesis. Alternative splicing results in multiple transcript variants encoding distinct proteins.

Application Notes

Optimal dilution of the RAP1GAP antibody should be determined by the researcher.

Immunogen

E. coli-derived recombinant human protein (amino acids D11-L661) was used as the immunogen for the RAP1GAP antibody.

Storage

After reconstitution, the RAP1GAP antibody can be stored for up to one month at 4oC. For long-term, aliquot and store at -20oC. Avoid repeated freezing and thawing.

Cross
Bulk Quote Request Form
Name*:
Organization*:
Email*:
Phone Number*:
Catalog No.*:
Comments and Specifics(amount, formulation, etc.)*:
Validation code: Captchapackage Image


Can't read the image? click here to refresh.
    *required field

Your bulk quote request has been submitted successfully!

Please contact us if you have any questions.