• Tel: 858.663.9055
  • SeparatorEmail: info@nsjbio.com
  • Tel: 858.663.9055
  • Email: info@nsjbio.com
Home >> Antibodies >> RANBP3 Antibody / Ran-binding protein 3

RANBP3 Antibody / Ran-binding protein 3 (FY13005)

  Catalog No Formulation Size Price (USD)  
Image FY13005 Adding 0.2 ml of distilled water will yield a concentration of 500 ug/ml 100 ug 439
Bulk quote request
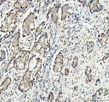
Immunohistochemical staining of RANBP3 using anti-RANBP3 antibody. RANBP3 was detected in a paraffin-embedded section of human breast cancer tissue. Heat mediated antigen retrieval was performed in EDTA buffer (pH 8.0, epitope retrieval solution). The tissue section was blocked with 10% goat serum. The tissue section was then incubated with 2 ug/ml rabbit anti-RANBP3 antibody overnight at 4oC. Peroxidase Conjugated Goat Anti-rabbit IgG was used as secondary antibody and incubated for 30 minutes at 37oC. The tissue section was developed using an HRP secondary and DAB substrate.
Western blot analysis of RANBP3 using anti-RANBP3 antibody. Electrophoresis was performed on a 10% SDS-PAGE gel at 80V (Stacking gel) / 1200V (Resolving gel) for 2-3 hours. Lane 1: human HepG2 whole cell lysates, Lane 2: human PC-3 whole cell lysates, Lane 3: human U251 whole cell lysates, Lane 4: human RT4 whole cell lysates, Lane 5: rat heart tissue lysates, Lane 6: rat C6 whole cell lysates, Lane 7: mouse heart tissue lysates, Lane 8: mouse NIH/3T3 whole cell lysates. After electrophoresis, proteins were transferred to a nitrocellulose membrane at 150 mA for 50-90 minutes. Blocked the membrane with 5% non-fat milk/TBS for 1.5 hour at RT. The membrane was incubated with rabbit anti-RANBP3 antibody at 0.5 ug/ml overnight at 4oC, then washed with TBS-0.1%Tween 3 times with 5 minutes each and probed with a goat anti-rabbit IgG-HRP secondary antibody at a dilution of 1:5000 for 1.5 hour at RT. The signal was developed using an ECL Plus Western Blotting Substrate. A predominant band is detected at ~70 kDa, running above the ~60 kDa prediction, consistent with phosphorylation and the known slower migration of RANBP3. A weaker upper band at ~90 kDa is observed in some samples, consistent with SUMOylated/ubiquitinated RANBP3.
Immunofluorescent staining of RANBP3 using anti-RANBP3 antibody and anti-Tubulin Alpha antibody. RANBP3 was detected in immunocytochemical section of U2OS cell. Enzyme antigen retrieval was performed using IHC enzyme antigen retrieval reagent for 15 mins. The cells were blocked with 10% goat serum. And then incubated with 5 ug/ml rabbit anti-RANBP3 antibody and mouse anti-Tubulin Alpha antibody overnight at 4oC. DyLight 488 Conjugated Goat Anti-Rabbit IgG and Cy3 Conjugated Goat Anti-Mouse IgG were used as secondary antibody at 1:500 dilution and incubated for 30 minutes at 37oC. The section was counterstained with DAPI nuclear stain (blue). Visualize using a fluorescence microscope and filter sets appropriate for the label used.
Flow Cytometry analysis of PC-3 cells using anti-RANBP3 antibody. Overlay histogram showing PC-3 cells stained with (Blue line). To facilitate intracellular staining, cells were fixed with 4% paraformaldehyde and permeabilized with permeabilization buffer. The cells were blocked with 10% normal goat serum. And then incubated with rabbit anti-RANBP3 antibody (1 ug/million cells) for 30 min at 20oC. DyLight 488 conjugated goat anti-rabbit IgG (5-10 ug/million cells) was used as secondary antibody for 30 minutes at 20oC. Isotype control antibody (Green line) was rabbit IgG (1 ug/million cells) used under the same conditions. Unlabelled sample without incubation with primary antibody and secondary antibody (Red line) was used as a blank control.
Availability 1-2 days
Species Reactivity Human, Mouse, Rat
Format Lyophilized
Clonality Polyclonal (rabbit origin)
Isotype Rabbit IgG
Purity Immunogen affinity purified
Buffer Each vial contains 4 mg Trehalose, 0.9 mg NaCl, 0.2 mg Na2HPO4.
UniProt Q9H6Z4
Localization Nuclear, cytoplasmic
Applications ELISA : 0.1-0.5ug/ml
Flow Cytometry : 1-3ug/million cells
Immunofluorescence : 5ug/ml
Immunohistochemistry : 2-5ug/ml
Immunocytochemistry : 5ug/ml
Western Blot : 0.25-0.5ug/ml
Limitations This RANBP3 antibody is available for research use only.
Review this product on BioCompare and get a $20 Amazon gift card

Description

RANBP3 antibody detects Ran-binding protein 3, a nuclear transport factor that regulates nucleocytoplasmic trafficking and RNA export. The UniProt recommended name is Ran-binding protein 3 (RANBP3). This protein functions as a cofactor in the Ran GTPase cycle, controlling the directionality of transport across the nuclear pore complex (NPC). RANBP3 is a crucial mediator in the export of proteins and RNAs from the nucleus to the cytoplasm, contributing to overall genome expression and cellular homeostasis.

Functionally, RANBP3 antibody identifies a 607-amino-acid cytoplasmic and nuclear protein that interacts with Ran GTPase, CRM1 (also known as Exportin 1), and other nucleocytoplasmic transport components. RANBP3 facilitates CRM1-dependent export of cargo molecules by stabilizing the export complex in a RanGTP-bound state. It also acts as a cofactor promoting efficient release of exported cargo upon GTP hydrolysis. Through these functions, RANBP3 ensures proper distribution of transcription factors, mRNA, and ribonucleoprotein complexes between cellular compartments.

The RANBP3 gene is located on chromosome 19p13.3 and is ubiquitously expressed across mammalian tissues. It contains an N-terminal nuclear export signal, a Ran-binding domain, and multiple leucine-rich motifs responsible for cargo recognition. RANBP3 participates in nuclear export of Smad proteins, linking it directly to TGF-beta signaling. By facilitating Smad nuclear export, it modulates transcriptional responses to growth factors and cytokines. Its activity is regulated by phosphorylation and nuclear-cytoplasmic shuttling that respond to cell cycle and signaling cues.

In addition to its export functions, RANBP3 maintains genome integrity by controlling the localization of DNA repair factors and replication regulators. It also contributes to ribosome biogenesis and mRNA surveillance by interacting with nuclear export adaptors. Dysregulation of RANBP3 has been associated with tumor progression and antiviral defense, as viruses often hijack CRM1-dependent pathways to export viral RNA and proteins.

RANBP3 antibody is widely used in studies of nucleocytoplasmic transport, gene regulation, and signal transduction. It is suitable for immunoblotting, immunofluorescence, and nuclear fractionation assays to examine RANBP3 distribution and function. This antibody supports research into RNA export, TGF-beta signaling, and nuclear pore dynamics. In disease studies, RANBP3 detection helps elucidate altered nuclear transport mechanisms contributing to cancer and viral infection.

Structurally, RANBP3 contains a pleckstrin homology-like domain and a Ran-binding domain that coordinate GTPase activity and CRM1 interaction. Post-translational modifications such as phosphorylation at specific serine residues regulate its subcellular localization and export efficiency. NSJ Bioreagents provides RANBP3 antibody reagents validated for use in nucleocytoplasmic transport, transcriptional regulation, and signal transduction research.

Application Notes

Optimal dilution of the RANBP3 antibody should be determined by the researcher.

Immunogen

E.coli-derived human RANBP3 recombinant protein (Position: Q26-Q517) was used as the immunogen for the RANBP3 antibody.

Storage

After reconstitution, the RANBP3 antibody can be stored for up to one month at 4oC. For long-term, aliquot and store at -20oC. Avoid repeated freezing and thawing.

Cross
Bulk Quote Request Form
Name*:
Organization*:
Email*:
Phone Number*:
Catalog No.*:
Comments and Specifics(amount, formulation, etc.)*:
Validation code: Captchapackage Image


Can't read the image? click here to refresh.
    *required field

Your bulk quote request has been submitted successfully!

Please contact us if you have any questions.