• Tel: 858.663.9055
  • SeparatorEmail: info@nsjbio.com
  • Tel: 858.663.9055
  • Email: info@nsjbio.com
Home >> Antibodies >> RANBP16 Antibody

RANBP16 Antibody (R34927)

  Catalog No Formulation Size Price (USD)  
Image R34927-100UG 0.5 mg/ml in 1X TBS, pH7.3, with 0.5% BSA (US sourced) and 0.02% sodium azide 100 ug 449
Bulk quote request
Western blot testing of HeLa lysate with RANBP16 antibody at 0.5ug/ml. Predicted molecular weight: ~124 kDa.
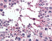
IHC testing of FFPE human testis tissue with RANBP16 antibody at 5ug/ml. Required HIER: steamed antigen retrieval with pH6 citrate buffer; AP-staining.
Availability 1-3 business days
Species Reactivity Human
Predicted Reactivity Mouse, Dog, Pig, Cow
Format Antigen affinity purified
Clonality Polyclonal (goat origin)
Isotype Goat Ig
Purity Antigen affinity
Gene ID 23039
Localization Cytoplasmic, nuclear
Applications Western Blot : 0.5-1ug/ml
Immunohistochemistry (FFPE) : 5ug/ml
ELISA (peptide) LOD : 1:32000
Limitations This RANBP16 antibody is available for research use only.
Review this product on BioCompare and get a $20 Amazon gift card

Description

Additional name(s) for this target protein: Exportin 7; XPO7

Application Notes

Optimal dilution of the RANBP16 antibody should be determined by the researcher.

Immunogen

Amino acids NSTYGVNSNDMMS were used as the immunogen for this RANBP16 antibody.

Storage

Aliquot and store the RANBP16 antibody at -20oC.

Cross
Bulk Quote Request Form
Name*:
Organization*:
Email*:
Phone Number*:
Catalog No.*:
Comments and Specifics(amount, formulation, etc.)*:
Validation code: Captchapackage Image


Can't read the image? click here to refresh.
    *required field

Your bulk quote request has been submitted successfully!

Please contact us if you have any questions.