• Tel: 858.663.9055
  • SeparatorEmail: info@nsjbio.com
  • Tel: 858.663.9055
  • Email: info@nsjbio.com
Home >> Antibodies >> RanBP1 Antibody

RanBP1 Antibody (R34744)

  Catalog No Formulation Size Price (USD)  
Image R34744-100UG 0.5 mg/ml in 1X TBS, pH7.3, with 0.5% BSA (US sourced) and 0.02% sodium azide 100 ug 449
Bulk quote request
Western blot testing of HeLa lysate with RanBP1 antibody at 0.05ug/ml. Expected molecular weight: 23-26 kDa.
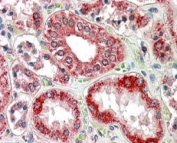
IHC staining of FFPE human kidney with RanBP1 antibody at 4ug/ml. HIER: steamed with pH6 citrate buffer, AP-staining.
Availability 1-3 business days
Species Reactivity Human
Format Antigen affinity purified
Clonality Polyclonal (goat origin)
Isotype Goat Ig
Purity Antigen affinity
Gene ID 5902
Localization Cytoplasmic
Applications Western Blot : 0.05-0.1ug/ml
Immunohistochemistry (FFPE) : 3-5ug/ml
ELISA (peptide) LOD : 1:16000
Limitations This RanBP1 antibody is available for research use only.
Review this product on BioCompare and get a $20 Amazon gift card

Related Products

  • Applications : WB, IHC-P, IF/ICC, FACS
    Reactivity : Human, Mouse, Rat
  • Applications : WB, IF, Direct ELISA
    Reactivity : Human

Description

Additional name(s) for this target protein: RAN binding protein 1

Application Notes

Optimal dilution of the RanBP1 antibody should be determined by the researcher.

Immunogen

Amino acids LSVKEETKEDAEEKQ were used as the immunogen for this RanBP1 antibody.

Storage

Aliquot and store the RanBP1 antibody at -20oC.

Cross
Bulk Quote Request Form
Name*:
Organization*:
Email*:
Phone Number*:
Catalog No.*:
Comments and Specifics(amount, formulation, etc.)*:
Validation code: Captchapackage Image


Can't read the image? click here to refresh.
    *required field

Your bulk quote request has been submitted successfully!

Please contact us if you have any questions.