• Tel: 858.663.9055
  • SeparatorEmail: info@nsjbio.com
  • Tel: 858.663.9055
  • Email: info@nsjbio.com
Home >> Antibodies >> RALGAPB Antibody / Ral GTPase-activating protein subunit beta

RALGAPB Antibody / Ral GTPase-activating protein subunit beta (FY12459)

  Catalog No Formulation Size Price (USD)  
Image FY12459 Adding 0.2 ml of distilled water will yield a concentration of 500 ug/ml 100 ug 439
Bulk quote request
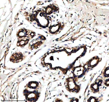
Immunohistochemical staining of RALGAPB using anti-RALGAPB antibody. RALGAPB was detected in a paraffin-embedded section of human breast cancer tissue. Heat mediated antigen retrieval was performed in EDTA buffer (pH 8.0, epitope retrieval solution). The tissue section was blocked with 10% goat serum. The tissue section was then incubated with 2 ug/ml rabbit anti-RALGAPB antibody overnight at 4oC. Peroxidase Conjugated Goat Anti-rabbit IgG was used as secondary antibody and incubated for 30 minutes at 37oC. The tissue section was developed using an HRP secondary and DAB substrate.
Western blot analysis of RALGAPB using anti-RALGAPB antibody. Electrophoresis was performed on a 8% SDS-PAGE gel at 80V (Stacking gel) / 120V (Resolving gel) for 2 hours. Lane 1: human RT4 whole cell lysates, Lane 2: human Caco-2 whole cell lysates, Lane 3: human SIHA whole cell lysates, Lane 4: human HEL whole cell lysates, Lane 5: rat brain tissue lysates, Lane 6: mouse brain tissue lysates. After electrophoresis, proteins were transferred to a nitrocellulose membrane at 150 mA for 50-90 minutes. Blocked the membrane with 5% non-fat milk/TBS for 1.5 hour at RT. The membrane was incubated with rabbit anti-RALGAPB antibody at 0.5 ug/ml overnight at 4oC, then washed with TBS-0.1%Tween 3 times with 5 minutes each and probed with a goat anti-rabbit IgG-HRP secondary antibody at a dilution of 1:5000 for 1.5 hour at RT. The signal was developed using an ECL Plus Western Blotting Substrate. RALGAPB (~167 kDa predicted) was detected at ~185-190 kDa, consistent with the slower electrophoretic migration caused by its extended coiled-coil structure and complex formation with RALGAPA subunits.
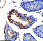
Immunohistochemical staining of RALGAPB using anti-RALGAPB antibody. RALGAPB was detected in a paraffin-embedded section of mouse testis tissue. Heat mediated antigen retrieval was performed in EDTA buffer (pH 8.0, epitope retrieval solution). The tissue section was blocked with 10% goat serum. The tissue section was then incubated with 2 ug/ml rabbit anti-RALGAPB antibody overnight at 4oC. Peroxidase Conjugated Goat Anti-rabbit IgG was used as secondary antibody and incubated for 30 minutes at 37oC. The tissue section was developed using an HRP secondary and DAB substrate.
Immunohistochemical staining of RALGAPB using anti-RALGAPB antibody. RALGAPB was detected in a paraffin-embedded section of rat testis tissue. Heat mediated antigen retrieval was performed in EDTA buffer (pH 8.0, epitope retrieval solution). The tissue section was blocked with 10% goat serum. The tissue section was then incubated with 2 ug/ml rabbit anti-RALGAPB antibody overnight at 4oC. Peroxidase Conjugated Goat Anti-rabbit IgG was used as secondary antibody and incubated for 30 minutes at 37oC. The tissue section was developed using an HRP secondary and DAB substrate.
Availability 1-2 days
Species Reactivity Human, Mouse, Rat
Format Lyophilized
Clonality Polyclonal (rabbit origin)
Isotype Rabbit IgG
Purity Immunogen affinity purified
Buffer Each vial contains 4 mg Trehalose, 0.9 mg NaCl, 0.2 mg Na2HPO4.
UniProt Q86X10
Applications Western Blot : 0.25-0.5ug/ml
Immunohistochemistry : 2-5ug/ml
ELISA : 0.1-0.5ug/ml
Limitations This RALGAPB antibody is available for research use only.
Review this product on BioCompare and get a $20 Amazon gift card

Description

RALGAPB antibody detects Ral GTPase-activating protein subunit beta, a large scaffolding component of the RalGAP complex that inactivates small GTPases RALA and RALB. The RalGAP complex consists of catalytic (RALGAPA1 or RALGAPA2) and regulatory (RALGAPB) subunits and serves as a negative regulator of Ral signaling, which is involved in membrane trafficking, cell migration, and tumorigenesis. The RALGAPB antibody is an essential reagent for exploring Ral-mediated signaling pathways and understanding their impact on oncogenic transformation and vesicular transport.

RALGAPB is encoded by the RALGAPB gene located on human chromosome 20q13.33. The protein is cytoplasmic and interacts with Ral GTPases to stimulate their intrinsic GTP hydrolysis activity, thereby switching them from active (GTP-bound) to inactive (GDP-bound) states. Through this action, RALGAPB contributes to regulation of endocytosis, exocytosis, and actin cytoskeleton dynamics. It also links Ral signaling to insulin-stimulated GLUT4 vesicle trafficking in metabolic tissues.

The RALGAPB antibody is widely used to detect the 185-200 kDa protein in western blot and to visualize cytoplasmic localization in immunofluorescence. RALGAPB forms a heterodimer with RALGAPA1 or RALGAPA2, and the resulting complex controls Ral-dependent regulation of mTOR signaling, autophagy, and vesicle movement. Studies have implicated RALGAPB in insulin sensitivity, as well as in cancer progression where Ral signaling is hyperactivated. Loss or mutation of RALGAPB leads to sustained Ral activity, promoting cellular proliferation and migration.

Functional studies using this antibody have connected RALGAPB to the modulation of cell junction dynamics and receptor trafficking. It is also implicated in neuronal vesicle regulation and autophagosome maturation. NSJ Bioreagents offers a validated RALGAPB antibody optimized for western blot, immunoprecipitation, and immunofluorescence, enabling researchers to examine its role in signaling, vesicular transport, and metabolic regulation.

Application Notes

Optimal dilution of the RALGAPB antibody should be determined by the researcher.

Immunogen

E.coli-derived human RALGAPB recombinant protein (Position: M1-H1025) was used as the immunogen for the RALGAPB antibody.

Storage

After reconstitution, the RALGAPB antibody can be stored for up to one month at 4oC. For long-term, aliquot and store at -20oC. Avoid repeated freezing and thawing.

Cross
Bulk Quote Request Form
Name*:
Organization*:
Email*:
Phone Number*:
Catalog No.*:
Comments and Specifics(amount, formulation, etc.)*:
Validation code: Captchapackage Image


Can't read the image? click here to refresh.
    *required field

Your bulk quote request has been submitted successfully!

Please contact us if you have any questions.