• Tel: 858.663.9055
  • SeparatorEmail: info@nsjbio.com
  • Tel: 858.663.9055
  • Email: info@nsjbio.com
Home >> Antibodies >> RALA Antibody / Ras-related protein Ral-A

RALA Antibody / Ras-related protein Ral-A [clone 31R04] (FY13031)

  Catalog No Formulation Size Price (USD)  
Image FY13031 Rabbit IgG in phosphate buffered saline, pH 7.4, 150mM NaCl, 0.02% sodium azide and 50% glycerol, 0.4-0.5mg/ml BSA 100 ul 439
Microvalidated Recrabbitmono
Bulk quote request
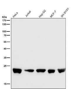
Western blot testing of human samples using the RALA antibody at 1:5000 dilution for 1 hour at room temperature. Predicted molecular weight ~24 kDa.
Western blot analysis of RalA in human MCF7 cell lysate using RALA antibody. Predicted molecular weight ~24 kDa.
Availability 2-3 weeks
Species Reactivity Human
Format Liquid
Clonality Recombinant Rabbit Monoclonal
Isotype Rabbit IgG
Clone Name 31R04
Purity Affinity chromatography
Buffer Rabbit IgG in phosphate buffered saline, pH 7.4, 150mM NaCl, 0.02% sodium azide and 50% glycerol, 0.4-0.5mg/ml BSA.
UniProt P11233
Applications Western Blot : 1:500-1:2000
Immunohistochemistry : 1:50-1:200
Limitations This RALA antibody is available for research use only.
Review this product on BioCompare and get a $20 Amazon gift card

Related Products

Description

RALA antibody detects Ras-related protein Ral-A, encoded by the RALA gene. Ral-A is a small GTPase belonging to the Ras superfamily that regulates vesicle trafficking, cytoskeletal organization, and signal transduction. Like other GTPases, Ras-related protein Ral-A cycles between an active GTP-bound state and an inactive GDP-bound state, acting as a molecular switch downstream of Ras signaling. RALA antibody provides a crucial tool for studying cell growth, vesicle exocytosis, and oncogenic pathways where Ral signaling contributes.

Ras-related protein Ral-A functions downstream of Ral guanine nucleotide exchange factors, which activate it in response to Ras and RalGDS signaling. Active Ral-A interacts with effectors such as Sec5 and Exo84, components of the exocyst complex, to regulate polarized exocytosis and vesicle trafficking. Research with RALA antibody has demonstrated that loss of Ral-A disrupts vesicle docking at the plasma membrane, impairing processes such as neurotransmitter release, insulin secretion, and epithelial polarity. This highlights its importance in fundamental cellular logistics.

In cancer biology, Ral-A has been shown to contribute to tumorigenesis independently of Ras. Research using RALA antibody has revealed that Ral-A promotes anchorage-independent growth, invasion, and metastasis in pancreatic and bladder cancers. Unlike Ral-B, which is more closely linked to cell survival, Ral-A is particularly involved in tumor initiation and vesicle trafficking related to oncogenic signaling. Its role as a Ras effector highlights the complexity of Ras-driven oncogenesis and the potential of targeting Ral pathways for therapy.

Beyond cancer, Ras-related protein Ral-A participates in endocytosis, cytoskeletal dynamics, and mitochondrial fission. Studies with RALA antibody have confirmed its localization to the plasma membrane and intracellular vesicles, supporting its roles in trafficking and morphology. Dysregulation of Ral-A has been implicated in metabolic disease and neurological conditions, expanding its significance across multiple fields of study.

RALA antibody is widely used in western blotting, immunohistochemistry, and immunofluorescence. Western blotting detects Ral-A expression across tissues, immunohistochemistry highlights tissue-specific expression patterns, and immunofluorescence reveals colocalization with vesicle markers and actin structures. Functional assays with RALA antibody enable researchers to link GTPase activation with trafficking, signaling, and cell behavior.

By providing validated RALA antibody reagents, NSJ Bioreagents supports research into small GTPase biology, vesicle dynamics, and oncogenesis. Detection of Ras-related protein Ral-A provides a reliable tool for dissecting how this signaling switch integrates growth and trafficking pathways in both normal and diseased states.

Application Notes

Optimal dilution of the RALA antibody should be determined by the researcher.

Immunogen

A synthesized peptide derived from human RalA was used as the immunogen for the RALA antibody.

Storage

Store the RALA antibody at -20oC.

Cross
Bulk Quote Request Form
Name*:
Organization*:
Email*:
Phone Number*:
Catalog No.*:
Comments and Specifics(amount, formulation, etc.)*:
Validation code: Captchapackage Image


Can't read the image? click here to refresh.
    *required field

Your bulk quote request has been submitted successfully!

Please contact us if you have any questions.