• Tel: 858.663.9055
  • SeparatorEmail: info@nsjbio.com
  • Tel: 858.663.9055
  • Email: info@nsjbio.com
Home >> Antibodies >> RAD51D Antibody / RAD51 homolog D

RAD51D Antibody / RAD51 homolog D (FY12045)

  Catalog No Formulation Size Price (USD)  
Image FY12045 Adding 0.2 ml of distilled water will yield a concentration of 500 ug/ml 100 ug 439
Bulk quote request
IF analysis of RAD51D using anti-RAD51D antibody (red) and anti-Beta Tubulin antibody (green). RAD51D was detected in immunocytochemical section of cell. Enzyme antigen retrieval was performed using IHC enzyme antigen retrieval reagent for 15 mins. The cells were blocked with 10% goat serum. And then incubated with 5 ug/ml rabbit anti-RAD51D antibody and mouse anti-Beta Tubulin antibody overnight at 4oC. Cy3 Conjugated Goat Anti-Rabbit IgG and DyLight 488 Conjugated Goat Anti-Mouse IgG were used as secondary antibody at 1:500 dilution and incubated for 30 minutes at 37oC. Visualize using a fluorescence microscope and filter sets appropriate for the label used.
Western blot analysis of RAD51D using anti-RAD51D antibody. Lane 1: human 293T whole cell lysates, Lane 2: human Hela whole cell lysates, Lane 3: human Jurkat whole cell lysates, Lane 4: human whole cell lysates. After electrophoresis, proteins were transferred to a nitrocellulose membrane at 150 mA for 50-90 minutes. Blocked the membrane with 5% non-fat milk/TBS for 1.5 hour at RT. The membrane was incubated with rabbit anti-RAD51D antibody at 0.5 ug/ml overnight at 4oC, then washed with TBS-0.1%Tween 3 times with 5 minutes each and probed with a goat anti-rabbit IgG-HRP secondary antibody at a dilution of 1:5000 for 1.5 hour at RT. The signal was developed using enhanced chemiluminescent. Specific banding was detected for RAD51D at approximately 30-40 kDa. The expected band size for RAD51D is at 35 kDa.
Flow Cytometry analysis of JK cells using anti-RAD51D antibody. Overlay histogram showing JK cells stained with (Blue line). To facilitate intracellular staining, cells were fixed with 4% paraformaldehyde and permeabilized with permeabilization buffer. The cells were blocked with 10% normal goat serum. And then incubated with rabbit anti-RAD51D antibody (1 ug/million cells) for 30 min at 20oC. DyLight 488 conjugated goat anti-rabbit IgG (5-10 ug/million cells) was used as secondary antibody for 30 minutes at 20oC. Isotype control antibody (Green line) was rabbit IgG (1 ug/million cells) used under the same conditions. Unlabelled sample (Red line) was also used as a control.
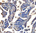
IHC analysis of RAD51D using anti-RAD51D antibody. RAD51D was detected in a paraffin-embedded section of human lung cancer tissue. Heat mediated antigen retrieval was performed in EDTA buffer (pH 8.0, epitope retrieval solution). The tissue section was blocked with 10% goat serum. The tissue section was then incubated with 2 ug/ml rabbit anti-RAD51D antibody overnight at 4oC. Peroxidase Conjugated Goat Anti-rabbit IgG was used as secondary antibody and incubated for 30 minutes at 37oC. The tissue section was developed using an HRP secondary and DAB substrate.
Availability 1-2 days
Species Reactivity Human
Format Lyophilized
Clonality Polyclonal (rabbit origin)
Isotype Rabbit IgG
Purity Immunogen affinity purified
Buffer Each vial contains 4 mg Trehalose, 0.9 mg NaCl, 0.2 mg Na2HPO4.
UniProt O75771
Applications Western Blot : 0.25-0.5ug/ml
Immunohistochemistry : 2-5ug/ml
Immunocytochemistry/Immunofluorescence : 5ug/ml
Flow Cytometry : 1-3ug/million cells
ELISA : 0.1-0.5ug/ml
Limitations This RAD51D antibody is available for research use only.
Review this product on BioCompare and get a $20 Amazon gift card

Related Products

Description

RAD51D antibody detects DNA repair protein RAD51 homolog D, encoded by the RAD51D gene. RAD51D is a member of the RAD51 family of proteins that mediate homologous recombination, a high-fidelity DNA repair pathway essential for genome stability. RAD51D antibody provides researchers with a tool for studying DNA repair, recombination, and cancer susceptibility.

RAD51D functions by promoting strand invasion and pairing between homologous DNA sequences during double-strand break repair. Research using RAD51D antibody has shown that it forms complexes with other RAD51 paralogs, including RAD51B, RAD51C, and XRCC2, to stabilize DNA intermediates and ensure proper recombination. These interactions highlight RAD51D as a core mediator of genome maintenance.

Studies with RAD51D antibody have revealed that mutations in RAD51D predispose individuals to hereditary ovarian and breast cancer. Loss-of-function mutations compromise homologous recombination, leading to accumulation of DNA breaks and genomic instability. This genetic predisposition places RAD51D in the same pathway as BRCA1 and BRCA2, emphasizing its importance in hereditary cancer risk.

In addition to hereditary cancer, RAD51D has relevance in therapeutic contexts. Research using RAD51D antibody has demonstrated that cells deficient in RAD51D are highly sensitive to PARP inhibitors, which exploit synthetic lethality in DNA repair-deficient cancers. This makes RAD51D an important biomarker for precision oncology strategies.

RAD51D antibody is widely applied in western blotting, immunofluorescence, and chromatin immunoprecipitation. Western blotting quantifies expression in cell lines and tumor tissues, immunofluorescence highlights nuclear foci formation in response to DNA damage, and chromatin immunoprecipitation identifies DNA repair complexes. These methods make RAD51D antibody indispensable for DNA repair research.

By providing validated RAD51D antibody reagents, NSJ Bioreagents supports studies into DNA repair, hereditary cancer, and precision medicine. Detection of DNA repair protein RAD51 homolog D provides researchers with insight into how recombination pathways maintain genomic integrity.

Application Notes

Optimal dilution of the RAD51D antibody should be determined by the researcher.

Immunogen

E.coli-derived human RAD51D recombinant protein (Position: H23-T328) was used as the immunogen for the RAD51D antibody.

Storage

After reconstitution, the RAD51D antibody can be stored for up to one month at 4oC. For long-term, aliquot and store at -20oC. Avoid repeated freezing and thawing.

Cross
Bulk Quote Request Form
Name*:
Organization*:
Email*:
Phone Number*:
Catalog No.*:
Comments and Specifics(amount, formulation, etc.)*:
Validation code: Captchapackage Image


Can't read the image? click here to refresh.
    *required field

Your bulk quote request has been submitted successfully!

Please contact us if you have any questions.