• Tel: 858.663.9055
  • SeparatorEmail: info@nsjbio.com
  • Tel: 858.663.9055
  • Email: info@nsjbio.com
Home >> Antibodies >> RAD51AP1 Antibody / RAD51-associated protein 1

RAD51AP1 Antibody / RAD51-associated protein 1 (FY12221)

  Catalog No Formulation Size Price (USD)  
Image FY12221 Adding 0.2 ml of distilled water will yield a concentration of 500 ug/ml 100 ug 439
Bulk quote request
Immunofluorescent staining of RAD51AP1 using anti-RAD51AP1 antibody (green) and anti-Beta Tubulin antibody (red). RAD51AP1 was detected in immunocytochemical section of U2OS cell. Enzyme antigen retrieval was performed using IHC enzyme antigen retrieval reagent for 15 mins. The cells were blocked with 10% goat serum. And then incubated with 5 ug/ml rabbit anti-RAD51AP1 antibody and mouse anti-Beta Tubulin antibody overnight at 4oC. DyLight 488 Conjugated Goat Anti-Rabbit IgG and Cy3 Conjugated Goat Anti-Mouse IgG were used as secondary antibody at 1:500 dilution and incubated for 30 minutes at 37oC. Visualize using a fluorescence microscope and filter sets appropriate for the label used.
Western blot analysis of RAD51AP1 using anti-RAD51AP1 antibody. Lane 1: human Hela whole cell lysates, Lane 2: human Raji whole cell lysates, Lane 3: human HEL whole cell lysates, Lane 4: human Caco-2 whole cell lysates. After electrophoresis, proteins were transferred to a nitrocellulose membrane at 150 mA for 50-90 minutes. Blocked the membrane with 5% non-fat milk/TBS for 1.5 hour at RT. The membrane was incubated with rabbit anti-RAD51AP1 antibody at 0.5 ug/ml overnight at 4oC, then washed with TBS-0.1%Tween 3 times with 5 minutes each and probed with a goat anti-rabbit IgG-HRP secondary antibody at a dilution of 1:5000 for 1.5 hour at RT. The signal was developed using enhanced chemiluminescent. A specific band was detected for RAD51AP1 at approximately 38 kDa. The expected band size for RAD51AP1 is at 38 kDa.
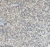
Immunohistochemical staining of RAD51AP1 using anti-RAD51AP1 antibody. RAD51AP1 was detected in a paraffin-embedded section of human ovarian cancer tissue. Heat mediated antigen retrieval was performed in EDTA buffer (pH 8.0, epitope retrieval solution). The tissue section was blocked with 10% goat serum. The tissue section was then incubated with 2 ug/ml rabbit anti-RAD51AP1 antibody overnight at 4oC. Peroxidase Conjugated Goat Anti-rabbit IgG was used as secondary antibody and incubated for 30 minutes at 37oC. The tissue section was developed using an HRP secondary and DAB substrate.
Immunohistochemical staining of RAD51AP1 using anti-RAD51AP1 antibody. RAD51AP1 was detected in a paraffin-embedded section of human ovarian cancer tissue. Heat mediated antigen retrieval was performed in EDTA buffer (pH 8.0, epitope retrieval solution). The tissue section was blocked with 10% goat serum. The tissue section was then incubated with 2 ug/ml rabbit anti-RAD51AP1 antibody overnight at 4oC. Peroxidase Conjugated Goat Anti-rabbit IgG was used as secondary antibody and incubated for 30 minutes at 37oC. The tissue section was developed using an HRP secondary and DAB substrate.
Flow Cytometry analysis of Caco-2 cells using anti-RAD51AP1 antibody. Overlay histogram showing Caco-2 cells stained with (Blue line). To facilitate intracellular staining, cells were fixed with 4% paraformaldehyde and permeabilized with permeabilization buffer. The cells were blocked with 10% normal goat serum. And then incubated with rabbit anti-RAD51AP1 antibody (1 ug/million cells) for 30 min at 20oC. DyLight 488 conjugated goat anti-rabbit IgG (5-10 ug/million cells) was used as secondary antibody for 30 minutes at 20oC. Isotype control antibody (Green line) was rabbit IgG (1 ug/million cells) used under the same conditions. Unlabelled sample without incubation with primary antibody and secondary antibody (Red line) was used as a blank control.
Availability 1-2 days
Species Reactivity Human
Format Lyophilized
Clonality Polyclonal (rabbit origin)
Isotype Rabbit IgG
Purity Immunogen affinity purified
Buffer Each vial contains 4 mg Trehalose, 0.9 mg NaCl, 0.2 mg Na2HPO4.
UniProt Q96B01
Localization Nuclear
Applications Western Blot : 0.25-0.5ug/ml
Immunofluorescence : 5ug/ml
Immunohistochemistry : 2-5ug/ml
Immunocytochemistry : 5ug/ml
Flow Cytometry : 1-3ug/million cells
ELISA : 0.1-0.5ug/ml
Limitations This RAD51AP1 antibody is available for research use only.
Review this product on BioCompare and get a $20 Amazon gift card

Related Products

  • Applications : IHC, ELISA (peptide)
    Reactivity : Human
    Pred. Reactivity : Cow, Dog

Description

RAD51AP1 antibody detects RAD51-associated protein 1, encoded by the RAD51AP1 gene on chromosome 12p13.33. RAD51AP1 antibody is widely applied in DNA repair research, genomic stability studies, and cancer biology. RAD51AP1 functions as a binding partner of RAD51, the key recombinase in homologous recombination repair of double-strand DNA breaks. By stimulating RAD51-mediated strand invasion and exchange, RAD51AP1 supports accurate DNA repair and maintains chromosomal integrity.

Structurally, RAD51AP1 is a ~42 kDa protein containing a central RAD51-interacting domain and regions that promote DNA binding. It associates with single-stranded and double-stranded DNA, enhancing RAD51 filament stability. RAD51AP1 forms nuclear foci at DNA damage sites, co-localizing with repair proteins such as BRCA2 and RPA. Alternative splicing generates isoforms with different activities and localizations.

Functionally, RAD51AP1 is a positive regulator of homologous recombination. It enhances RAD51-mediated D-loop formation, critical for strand invasion during repair. Loss of RAD51AP1 reduces repair efficiency, increases chromosomal instability, and sensitizes cells to DNA-damaging agents. Overexpression can protect cells from genotoxic stress, but in cancer it may promote resistance to chemotherapy. Researchers use RAD51AP1 antibody to study DNA repair, homologous recombination, and cancer resistance mechanisms.

Clinically, RAD51AP1 is implicated in cancer susceptibility and therapy resistance. Its overexpression is observed in breast, ovarian, and colon cancers, correlating with poor prognosis. As a RAD51 cofactor, it represents a potential therapeutic target for sensitizing tumors to DNA-damaging agents such as platinum drugs or PARP inhibitors. RAD51AP1 polymorphisms may also influence genetic predisposition to cancer. NSJ Bioreagents supplies RAD51AP1 antibody for oncology, DNA repair, and therapeutic research.

Experimentally, RAD51AP1 antibody is used in western blotting to detect the ~42 kDa protein, in immunofluorescence microscopy to visualize nuclear foci after DNA damage, and in immunohistochemistry to assess tumor expression. Co-immunoprecipitation with RAD51AP1 antibody identifies complexes with RAD51, BRCA2, and other recombination proteins.

Application Notes

Optimal dilution of the RAD51AP1 antibody should be determined by the researcher.

Immunogen

E.coli-derived human RAD51AP1 recombinant protein (Position: M1-K303) was used as the immunogen for the RAD51AP1 antibody.

Storage

After reconstitution, the RAD51AP1 antibody can be stored for up to one month at 4oC. For long-term, aliquot and store at -20oC. Avoid repeated freezing and thawing.

Cross
Bulk Quote Request Form
Name*:
Organization*:
Email*:
Phone Number*:
Catalog No.*:
Comments and Specifics(amount, formulation, etc.)*:
Validation code: Captchapackage Image


Can't read the image? click here to refresh.
    *required field

Your bulk quote request has been submitted successfully!

Please contact us if you have any questions.