• Tel: 858.663.9055
  • SeparatorEmail: info@nsjbio.com
  • Tel: 858.663.9055
  • Email: info@nsjbio.com
Home >> Antibodies >> RAD51 Antibody / RAD51A

RAD51 Antibody / RAD51A (RQ4603)

  Catalog No Formulation Size Price (USD)  
Image RQ4603 0.5mg/ml if reconstituted with 0.2ml sterile DI water 100 ug 439
Bulk quote request
IHC staining of FFPE human testis with RAD51 antibody at 1ug/ml. HIER: boil tissue sections in pH6, 10mM citrate buffer, for 10-20 min followed by cooling at RT for 20 min.
IHC staining of FFPE human placenta with RAD51 antibody at 1ug/ml. HIER: boil tissue sections in pH6, 10mM citrate buffer, for 10-20 min followed by cooling at RT for 20 min.
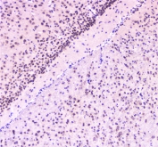
IHC staining of FFPE mouse brain with RAD51 antibody at 1ug/ml. HIER: boil tissue sections in pH6, 10mM citrate buffer, for 10-20 min followed by cooling at RT for 20 min.
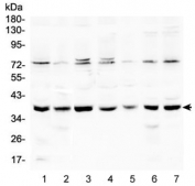
Western blot testing of human 1) HeLa, 2) A431, 3) 293T, 4) K562, 5) Jurkat, 6) A549 and 7) Caco-2 lysate with RAD51 antibody at 0.5ug/ml. Predicted molecular weight ~37 kDa.
Western blot testing of 1) rat testis, 2) mouse testis and 3) mouse thymus lysate with RAD51 antibody at 0.5ug/ml. Predicted molecular weight ~37 kDa.
IHC staining of FFPE rat brain with RAD51 antibody at 1ug/ml. HIER: boil tissue sections in pH6, 10mM citrate buffer, for 10-20 min followed by cooling at RT for 20 min.
Immunofluorescent staining of FFPE human U-2 OS cells with RAD51 antibody (green) and DAPI nuclear stain (blue). HIER: steam section in pH6 citrate buffer for 20 min.
Flow cytometry testing of human SiHa cells with RAD51 antibody at 1ug/million cells (blocked with goat sera); Red=cells alone, Green=isotype control, Blue= RAD51 antibody.
Availability 1-3 business days
Species Reactivity Human, Mouse, Rat
Format Antigen affinity purified
Clonality Polyclonal (rabbit origin)
Isotype Rabbit IgG
Purity Antigen affinity purified
Buffer Lyophilized from 1X PBS with 2% Trehalose and 0.025% sodium azide
UniProt Q06609
Applications Western Blot : 0.5-1ug/ml
Immunohistochemistry (FFPE) : 1-2ug/ml
Immunofluorescence (FFPE) : 2-4ug/ml
Flow Cytometry : 1-3ug/million cells
Review this product on BioCompare and get a $20 Amazon gift card

Related Products

Description

DNA repair protein RAD51 homolog 1, also known as RAD51A, is a human gene. The Rad51 gene, HsRAD51, is a homolog of RecA of Escherichia coli and functions in recombination and DNA repair. BRCA1 and BRCA2 proteins form a complex with Rad51, and these genes are thought to participate in a common DNA damage response pathway associated with the activation of homologous recombination and double-strand break repair. RAD51 is also found to interact with BRCA1 and BRCA2, which may be important for the cellular response to DNA damage. BRCA2 is shown to regulate both the intracellular localization and DNA-binding ability of this protein. Loss of these controls following BRCA2 inactivation may be a key event leading to genomic instability and tumorigenesis.

Application Notes

Optimal dilution of the RAD51 antibody should be determined by the researcher.

Immunogen

Amino acids KKLEEAGFHTVEAVAYAPKKELINIKGISEAKADK were used as the immunogen for the RAD51 antibody.

Storage

After reconstitution, the RAD51 antibody can be stored for up to one month at 4oC. For long-term, aliquot and store at -20oC. Avoid repeated freezing and thawing.

Cross
Bulk Quote Request Form
Name*:
Organization*:
Email*:
Phone Number*:
Catalog No.*:
Comments and Specifics(amount, formulation, etc.)*:
Validation code: Captchapackage Image


Can't read the image? click here to refresh.
    *required field

Your bulk quote request has been submitted successfully!

Please contact us if you have any questions.