• Tel: 858.663.9055
  • SeparatorEmail: info@nsjbio.com
  • Tel: 858.663.9055
  • Email: info@nsjbio.com
Home >> Antibodies >> RAD51 Antibody

RAD51 Antibody [clone RAD51/2765] (V7328)

  Catalog No Formulation Size Price (USD)  
Image V7328-100UG 0.2 mg/ml in 1X PBS with 0.1 mg/ml BSA (US sourced) and 0.05% sodium azide 100 ug 539
Image
V7328-20UG 0.2 mg/ml in 1X PBS with 0.1 mg/ml BSA (US sourced) and 0.05% sodium azide 20 ug 249
Image
V7328SAF-100UG 1 mg/ml in 1X PBS; BSA free, sodium azide free 100 ug 539
Microvalidated
Bulk quote request
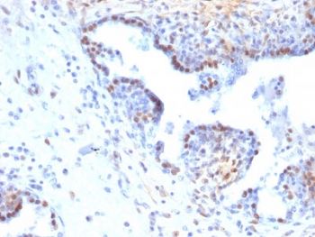
IHC staining of FFPE human colon carcinoma with RAD51 antibody. HIER: boil tissue sections in pH6, 10mM citrate buffer, for 10-20 min and allow to cool before testing.
Analysis of HuProt(TM) microarray containing more than 19,000 full-length human proteins using RAD51 antibody. These results demonstrate the foremost specificity of the RAD51/2765 mAb.
Z- and S- score: The Z-score represents the strength of a signal that an antibody (in combination with a fluorescently-tagged anti-IgG secondary Ab) produces when binding to a particular protein on the HuProt(TM) array. Z-scores are described in units of standard deviations (SD's) above the mean value of all signals generated on that array. If the targets on the HuProt(TM) are arranged in descending order of the Z-score, the S-score is the difference (also in units of SD's) between the Z-scores. The S-score therefore represents the relative target specificity of an Ab to its intended target.
Availability 1-2 business days
Species Reactivity Human
Format Purified
Clonality Monoclonal (mouse origin)
Isotype Mouse IgG2b, kappa
Clone Name RAD51/2765
Purity Protein G affinity chromatography
UniProt Q06609
Localization Nuclear
Applications ELISA (order BSA/sodium Azide-free Format For Coating) :
Limitations This RAD51 antibody is available for research use only.
Review this product on BioCompare and get a $20 Amazon gift card

Related Products

Description

RAD51 is one of the key factors of DNA repair by homologous recombination and has been shown to have anti-apoptotic activity in tumor cells. RAD51 protein interacts with a variety of tumor suppressor proteins including p53, BRCA1 and BRCA2. Elevated expression of RAD51 enhances radio-resistance of human tumor cells. Overexpression of RAD51 protein in tumor cells renders them resistant against cytotoxic drugs like Cisplatin. RAD51 interacts with BRCA1 and BRCA2 to influence subcellular localization and cellular response to DNA damage. BRCA2 inactivation may be a key event leading to genomic instability and tumorigenesis from deregulation of RAD51. High-level expression of RAD51 has been observed in a variety of human malignancies. RAD51 overexpression correlates with histological grading of the tumor in invasive ductal mammary carcinoma.

Application Notes

Optimal dilution of the RAD51 antibody should be determined by the researcher.

1. The prediluted format is supplied in a dropper bottle and is optimized for use in IHC. After epitope retrieval step (if required), drip mAb solution onto the tissue section and incubate at RT for 30 min.

Immunogen

A portion of amino acids 1-134 from the human protein was used as the immunogen for this RAD51 antibody.

Storage

Store the RAD51 antibody at 2-8oC (with azide) or aliquot and store at -20oC or colder (without azide).

Cross
Bulk Quote Request Form
Name*:
Organization*:
Email*:
Phone Number*:
Catalog No.*:
Comments and Specifics(amount, formulation, etc.)*:
Validation code: Captchapackage Image


Can't read the image? click here to refresh.
    *required field

Your bulk quote request has been submitted successfully!

Please contact us if you have any questions.