• Tel: 858.663.9055
  • SeparatorEmail: info@nsjbio.com
  • Tel: 858.663.9055
  • Email: info@nsjbio.com
Home >> Antibodies >> Rad21 Antibody

Rad21 Antibody [clone CBH-18] (RQ4748)

  Catalog No Formulation Size Price (USD)  
Image RQ4748 Antibody in PBS with 0.02% sodium azide, 50% glycerol and 0.4-0.5mg/ml BSA 100 ul 439
Microvalidated Rab Mono Image
Bulk quote request
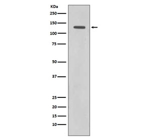
Western blot testing of human HeLa cell lysate with Rad21 antibody. Expected molecular weight: ~120 kDa (full length), 64-70 kDa (cleavage product).
Availability 1-2 weeks
Species Reactivity Human
Format Purified
Clonality Rabbit Monoclonal
Isotype Rabbit IgG
Clone Name CBH-18
Purity Affinity purified
UniProt O60216
Applications Western Blot : 1:500-1:1000
Limitations This Rad21 antibody is available for research use only.
Review this product on BioCompare and get a $20 Amazon gift card

Related Products

  • Applications : WB, IF, FACS, Direct ELISA
    Reactivity : Human, Mouse, Rat, Monkey

Description

'Double-strand-break repair protein rad21 homolog' is a cleavable component of the cohesin complex, involved in chromosome cohesion during cell cycle, in DNA repair, and in apoptosis. The cohesin complex is required for the cohesion of sister chromatids after DNA replication. The cohesin complex apparently forms a large proteinaceous ring within which sister chromatids can be trapped. At metaphase-anaphase transition, this protein is cleaved by separase/ESPL1 and dissociates from chromatin, allowing sister chromatids to segregate. The cohesin complex may also play a role in spindle pole assembly during mitosis. Also plays a role in apoptosis, via its cleavage by caspase-3/CASP3 or caspase-7/CASP7 during early steps of apoptosis: the C-terminal 64 kDa cleavage product may act as a nuclear signal to initiate cytoplasmic events involved in the apoptotic pathway. [UniProt]

Application Notes

Optimal dilution of the Rad21 antibody should be determined by the researcher.

Immunogen

A synthetic peptide specific to human Rad21 was used as the immunogen for the Rad21 antibody.

Storage

Store the Rad21 antibody at -20oC.

Cross
Bulk Quote Request Form
Name*:
Organization*:
Email*:
Phone Number*:
Catalog No.*:
Comments and Specifics(amount, formulation, etc.)*:
Validation code: Captchapackage Image


Can't read the image? click here to refresh.
    *required field

Your bulk quote request has been submitted successfully!

Please contact us if you have any questions.