• Tel: 858.663.9055
  • SeparatorEmail: info@nsjbio.com
  • Tel: 858.663.9055
  • Email: info@nsjbio.com
Home >> Antibodies >> Rad17 Antibody

Rad17 Antibody (RQ5917)

  Catalog No Formulation Size Price (USD)  
Image RQ5917 0.5mg/ml if reconstituted with 0.2ml sterile DI water 100 ug 439
Bulk quote request
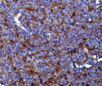
IHC staining of FFPE mouse Peyer's patches with Rad17 antibody. HIER: boil tissue sections in pH8 EDTA for 20 min and allow to cool before testing.
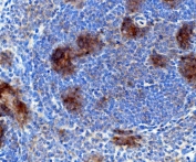
IHC staining of FFPE rat spleen with Rad17 antibody. HIER: boil tissue sections in pH8 EDTA for 20 min and allow to cool before testing.
Western blot testing of 1) mouse heart, 2) mouse NIH 3T3 and 3) rat heart lysate with Rad17 antibody. Predicted molecular weight ~77 kDa.
Flow cytometry testing of mouse spleen cells with Rad17 antibody at 1ug/million cells (blocked with goat sera); Red=cells alone, Green=isotype control, Blue= Rad17 antibody.
Flow cytometry testing of mouse HEPA1-6 cells with Rad17 antibody at 1ug/million cells (blocked with goat sera); Red=cells alone, Green=isotype control, Blue= Rad17 antibody.
Availability 1-3 business days
Species Reactivity Mouse, Rat
Format Antigen affinity purified
Clonality Polyclonal (rabbit origin)
Isotype Rabbit IgG
Purity Affinity purified
Buffer Lyophilized from 1X PBS with 2% Trehalose and 0.025% sodium azide
UniProt Q6NXW6
Applications Western Blot : 0.5-1ug/ml
Immunohistochemistry : 1-2ug/ml
Flow Cytometry : 1-3ug/million cells
Direct ELISA : 0.1-0.5ug/ml
Limitations This Rad17 antibody is available for research use only.
Review this product on BioCompare and get a $20 Amazon gift card

Related Products

Description

The protein encoded by this gene is highly similar to the gene product of Schizosaccharomyces pombe rad17, a cell cycle checkpoint gene required for cell cycle arrest and DNA damage repair in response to DNA damage. This protein shares strong similarity with DNA replication factor C (RFC), and can form a complex with RFCs. This protein binds to chromatin prior to DNA damage and is phosphorylated by the checkpoint kinase ATR following damage. This protein recruits the RAD1-RAD9-HUS1 checkpoint protein complex onto chromatin after DNA damage, which may be required for its phosphorylation. The phosphorylation of this protein is required for the DNA-damage-induced cell cycle G2 arrest, and is thought to be a critical early event during checkpoint signaling in DNA-damaged cells. Multiple alternatively spliced transcript variants of this gene, which encode four distinct protein isoforms, have been reported. Two pseudogenes, located on chromosomes 7 and 13, have been identified.

Application Notes

Optimal dilution of the Rad17 antibody should be determined by the researcher.

Immunogen

Recombinant mouse protein (amino acids M1-Q267) was used as the immunogen for the Rad17 antibody.

Storage

After reconstitution, the Rad17 antibody can be stored for up to one month at 4oC. For long-term, aliquot and store at -20oC. Avoid repeated freezing and thawing.

Cross
Bulk Quote Request Form
Name*:
Organization*:
Email*:
Phone Number*:
Catalog No.*:
Comments and Specifics(amount, formulation, etc.)*:
Validation code: Captchapackage Image


Can't read the image? click here to refresh.
    *required field

Your bulk quote request has been submitted successfully!

Please contact us if you have any questions.