• Tel: 858.663.9055
  • SeparatorEmail: info@nsjbio.com
  • Tel: 858.663.9055
  • Email: info@nsjbio.com
Home >> Antibodies >> RAC3 Antibody / Ras related C3 botulinum toxin substrate 3

RAC3 Antibody / Ras related C3 botulinum toxin substrate 3 [clone 32R19] (FY12593)

  Catalog No Formulation Size Price (USD)  
Image FY12593 Rabbit IgG in phosphate buffered saline, pH 7.4, 150mM NaCl, 0.02% sodium azide and 50% glycerol, 0.4-0.5mg/ml BSA 100 ul 439
Microvalidated Recrabbitmono
Bulk quote request
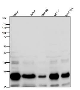
All lanes use the RAC3 antibody at 1:2000 dilution for 1 hour at room temperature. Predicted molecular weight ~21 kDa.
All lanes use the RAC3 antibody at 1:2000 dilution for 1 hour at room temperature. Predicted molecular weight ~21 kDa.
Availability 2-3 weeks
Species Reactivity Human, Mouse, Rat
Format Liquid
Clonality Recombinant Rabbit Monoclonal
Isotype Rabbit IgG
Clone Name 32R19
Purity Affinity-chromatography
Buffer Rabbit IgG in phosphate buffered saline, pH 7.4, 150mM NaCl, 0.02% sodium azide and 50% glycerol, 0.4-0.5mg/ml BSA.
UniProt P60763
Applications Western Blot : 1:500-1:2000
Immunohistochemistry : 1:50-1:200
Limitations This RAC3 antibody is available for research use only.
Review this product on BioCompare and get a $20 Amazon gift card

Description

RAC3 antibody detects Ras related C3 botulinum toxin substrate 3, a small GTP binding protein encoded by the RAC3 gene. RAC3 belongs to the Rho family of small GTPases, which regulate actin cytoskeleton dynamics, cell adhesion, migration, and signaling. Like other Rho GTPases, RAC3 cycles between an inactive GDP bound state and an active GTP bound state, controlled by guanine nucleotide exchange factors and GTPase activating proteins. Through its activity, RAC3 contributes to cell proliferation, survival, and polarity.

RAC3 antibody is widely used in cancer research, neuroscience, and cell signaling studies. RAC3 promotes lamellipodia formation and actin remodeling, driving cell migration and invasion. In cancer, elevated RAC3 expression has been linked to tumor progression, metastasis, and therapy resistance. By detecting RAC3, researchers can study how GTPase signaling influences cytoskeletal regulation and oncogenic transformation.

Western blot assays detect RAC3 protein in diverse tissues and cell lines. Immunohistochemistry reveals expression in epithelial tissues and tumor samples, while immunofluorescence highlights subcellular distribution at lamellipodia and cell junctions. ELISA applications enable quantitative assessment of RAC3 expression across experimental samples.

RAC3 also plays roles in neuronal development and plasticity. In the brain, RAC3 regulates axon guidance, dendritic spine formation, and synaptic signaling. Dysregulation of RAC3 has been associated with intellectual disability, psychiatric disorders, and neurodegeneration. By applying RAC3 antibody, scientists can evaluate how GTPase signaling contributes to neuronal structure and function.

Beyond the nervous system and cancer, RAC3 participates in immune responses, angiogenesis, and wound healing. Its broad impact across tissues makes it an important target for basic and translational research. The antibody therefore serves as a versatile reagent for exploring cytoskeletal and signaling pathways across biology.

RAC3 antibody from NSJ Bioreagents provides reliable specificity for studying small GTPase regulation in health and disease. Its performance across multiple methods ensures accurate detection of RAC3 in cellular and tissue contexts.

Application Notes

Optimal dilution of the RAC3 antibody should be determined by the researcher.

Immunogen

A synthesized peptide derived from human RAC3 was used as the immunogen for the RAC3 antibody.

Storage

Store the RAC3 antibody at -20oC.

Cross
Bulk Quote Request Form
Name*:
Organization*:
Email*:
Phone Number*:
Catalog No.*:
Comments and Specifics(amount, formulation, etc.)*:
Validation code: Captchapackage Image


Can't read the image? click here to refresh.
    *required field

Your bulk quote request has been submitted successfully!

Please contact us if you have any questions.