• Tel: 858.663.9055
  • SeparatorEmail: info@nsjbio.com
  • Tel: 858.663.9055
  • Email: info@nsjbio.com
Home >> Antibodies >> RAC1 Antibody / Ras-related C3 botulinum toxin substrate 1

RAC1 Antibody / Ras-related C3 botulinum toxin substrate 1 (R32162)

  Catalog No Formulation Size Price (USD)  
Image R32162 0.5mg/ml if reconstituted with 0.2ml sterile DI water 100 ug 439
Bulk quote request
Immunofluorescent staining of FFPE human A431 cells with RAC1 antibody (green) and DAPI nuclear stain (blue). HIER: steam section in pH6 citrate buffer for 20 min.
Immunofluorescent staining of FFPE human A549 cells with RAC1 antibody (green) and Beta Tubulin mAb (red). HIER: steam section in pH6 citrate buffer for 20 min.
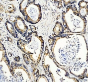
IHC staining of FFPE human colon cancer tissue with RAC1 antibody. HIER: boil tissue sections in pH8 EDTA for 20 min and allow to cool before testing.
Western blot testing of 1) human A431, 2) human HaCaT, 3) human MCF7, 4) human PC-3, 5) rat small intestine and 6) mouse small intestine tissue lysate with RAC1 antibody. Expected molecular weight ~22 kDa.
Flow cytometry testing of fixed and permeabilized human U-87 MG cells with RAC1 antibody at 1ug/million cells (blocked with goat sera); Red=cells alone, Green=isotype control, Blue= RAC1 antibody.
Availability 1-3 business days
Species Reactivity Human, Mouse, Rat
Format Antigen affinity purified
Clonality Polyclonal (rabbit origin)
Isotype Rabbit IgG
Purity Antigen affinity
Buffer Lyophilized from 1X PBS with 2% Trehalose
UniProt P63000
Applications Western Blot : 0.5-1ug/ml
Immunofluorescence : 5ug/ml
Immunohistochemistry (FFPE) : 2-5ug/ml
Flow Cytometry : 1-3ug/million cells
Limitations This RAC1 antibody is available for research use only.
Review this product on BioCompare and get a $20 Amazon gift card

Related Products

Description

RAC1, also known as Ras-related C3 botulinum toxin substrate 1, is a protein found in human cells. It is encoded by the RAC1 gene. This gene can produce a variety of alternatively spliced versions of the Rac1 protein, which appear to carry out different functions. This gene is a GTPase which belongs to the RAS superfamily of small GTP-binding proteins. Members of this superfamily appear to regulate a diverse array of cellular events, including the control of cell growth, cytoskeletal reorganization, and the activation of protein kinases. Two transcript variants encoding different isoforms have been found for this gene.

Application Notes

Optimal dilution of the RAC1 antibody should be determined by the researcher.

Immunogen

Amino acids FDEAIRAVLCPPPVKKRKRKC of human RAC1 were used as the immunogen for the RAC1 antibody.

Storage

After reconstitution, the RAC1 antibody can be stored for up to one month at 4oC. For long-term, aliquot and store at -20oC. Avoid repeated freezing and thawing.

Cross
Bulk Quote Request Form
Name*:
Organization*:
Email*:
Phone Number*:
Catalog No.*:
Comments and Specifics(amount, formulation, etc.)*:
Validation code: Captchapackage Image


Can't read the image? click here to refresh.
    *required field

Your bulk quote request has been submitted successfully!

Please contact us if you have any questions.