• Tel: 858.663.9055
  • SeparatorEmail: info@nsjbio.com
  • Tel: 858.663.9055
  • Email: info@nsjbio.com
Home >> Antibodies >> RAC1 Antibody

RAC1 Antibody [clone 1301CT276.121.104] (F52547)

  Catalog No Formulation Size Price (USD)  
Image F52547-0.4ML In 1X PBS, pH 7.4, with 0.09% sodium azide 0.4 ml 429
Image
F52547-0.08ML In 1X PBS, pH 7.4, with 0.09% sodium azide 0.08 ml 199
Bulk quote request
Western blot analysis of lysate from (1) human A431, (2) mouse NIH3T3, (3) rat C6 cell line using RAC1 antibody at 1:1000.
Immunohistochemical analysis of paraffin-embedded human skin section using RAC1 antibody at 1:25 dilution.
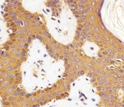
Immunohistochemical analysis of paraffin-embedded human stomach section using RAC1 antibody at 1:25 dilution.
Flow cytometric analysis of U-87 MG cells using RAC1 antibody (green) and an isotype control of mouse IgG2b (blue); Ab was diluted at 1:100 dilution.
Availability 1-3 business days
Species Reactivity Human, Rat
Predicted Reactivity Bovine, Mouse
Format Purified
Clonality Monoclonal (mouse origin)
Isotype Mouse IgG2b
Clone Name 1301CT276.121.104
Purity Purified
UniProt P63000
Applications Flow Cytometry : 1:100
IHC (Paraffin) : 1:25
Western Blot : 1:1000
Limitations This RAC1 antibody is available for research use only.
Review this product on BioCompare and get a $20 Amazon gift card

Related Products

Description

Plasma membrane-associated small GTPase which cycles between active GTP-bound and inactive GDP-bound states. In its active state, binds to a variety of effector proteins to regulate cellular responses such as secretory processes, phagocytosis of apoptotic cells, epithelial cell polarization and growth-factor induced formation of membrane ruffles. Rac1 p21/rho GDI heterodimer is the active component of the cytosolic factor sigma 1, which is involved in stimulation of the NADPH oxidase activity in macrophages. Essential for the SPATA13-mediated regulation of cell migration and adhesion assembly and disassembly. Stimulates PKN2 kinase activity. In concert with RAB7A, plays a role in regulating the formation of RBs (ruffled borders) in osteoclasts. In glioma cells, promotes cell migration and invasion. In podocytes, promotes nuclear shuttling of NR3C2; this modulation is required for a proper kidney functioning. Required for atypical chemokine receptor ACKR2-induced LIMK1-PAK1-dependent phosphorylation of cofilin (CFL1) and for up-regulation of ACKR2 from endosomal compartment to cell membrane, increasing its efficiency in chemokine uptake and degradation. In synapses, seems to mediate the regulation of F-actin cluster formation performed by SHANK3.

Application Notes

Titration of the RAC1 antibody may be required due to differences in protocols and secondary/substrate sensitivity.

Immunogen

This RAC1 antibody was produced from a mouse immunized with a KLH conjugated synthetic peptide from the human protein.

Storage

Aliquot the RAC1 antibody and store frozen at -20oC or colder. Avoid repeated freeze-thaw cycles.

Cross
Bulk Quote Request Form
Name*:
Organization*:
Email*:
Phone Number*:
Catalog No.*:
Comments and Specifics(amount, formulation, etc.)*:
Validation code: Captchapackage Image


Can't read the image? click here to refresh.
    *required field

Your bulk quote request has been submitted successfully!

Please contact us if you have any questions.