• Tel: 858.663.9055
  • SeparatorEmail: info@nsjbio.com
  • Tel: 858.663.9055
  • Email: info@nsjbio.com
Home >> Antibodies >> Rab8 Antibody

Rab8 Antibody (R31404)

  Catalog No Formulation Size Price (USD)  
Image R31404 0.5mg/ml if reconstituted with 0.2ml sterile DI water 100 ug 439
Bulk quote request
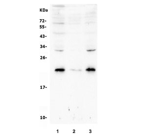
Western blot testing of human 1) Caco-2, 2) HepG2 and 3) A549 cell lysate with Rab8 antibody. Predicted molecular weight: ~24 kDa.
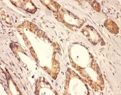
IHC-P: Rab8 antibody testing of human intestine cancer tissue
IHC-P: Rab8 antibody testing of human breast cancer tissue
Availability 1-3 business days
Species Reactivity Human, Mouse, Rat
Format Antigen affinity purified
Clonality Polyclonal (rabbit origin)
Isotype Rabbit IgG
Purity Antigen affinity
Buffer Lyophilized from 1X PBS with 2.5% BSA and 0.025% sodium azide/thimerosal
UniProt P61006
Applications Western Blot : 0.5-1ug/ml
IHC (FFPE) : 0.5-1ug/ml
Limitations This Rab8 antibody is available for research use only.
Review this product on BioCompare and get a $20 Amazon gift card

Related Products

  • Applications : WB, IHC, ICC, IF, FACS
    Reactivity : Human, Mouse, Rat
    Recrabbitmono
  • Applications : WB, ELISA (peptide)
    Reactivity : Human
    Pred. Reactivity : Cow, Dog
  • Applications : FACS, IHC-P, WB
    Reactivity : Human

Description

Ras-related protein Rab8 is a protein that in humans is encoded by the RAB8A gene. The protein encoded by this gene is a member of the RAS superfamily which are small GTP/GDP-binding proteins with an average size of 200 amino acids. The RAS-related proteins of the RAB/YPT family may play a role in the transport of proteins from the endoplasmic reticulum to the Golgi and the plasma membrane. Rab8 regulates cilia assembly by targeting and promoting fusion of vesicles near the ciliary membrane. This gene requires CEP290 for centrosome localization and that CEP290 regulates entry of Rab8 into the cilium during assembly of this organelle. It has been shown to interact with Optineurin and MAP4K2.

Application Notes

The stated application concentrations are suggested starting amounts. Titration of the Rab8 antibody may be required due to differences in protocols and secondary/substrate sensitivity.

Immunogen

An amino acid sequence from the C-terminus of human Rab8A (KAKMDKKLEGNSPQ) was used as the immunogen for this Rab8 antibody (100% homologous in human, mouse and rat).

Storage

After reconstitution, the Rab8 antibody can be stored for up to one month at 4oC. For long-term, aliquot and store at -20oC. Avoid repeated freezing and thawing.

Cross
Bulk Quote Request Form
Name*:
Organization*:
Email*:
Phone Number*:
Catalog No.*:
Comments and Specifics(amount, formulation, etc.)*:
Validation code: Captchapackage Image


Can't read the image? click here to refresh.
    *required field

Your bulk quote request has been submitted successfully!

Please contact us if you have any questions.