• Tel: 858.663.9055
  • SeparatorEmail: info@nsjbio.com
  • Tel: 858.663.9055
  • Email: info@nsjbio.com
Home >> Antibodies >> RAB5 Antibody

RAB5 Antibody (R32002)

  Catalog No Formulation Size Price (USD)  
Image R32002 0.5mg/ml if reconstituted with 0.2ml sterile DI water 100 ug 439
Bulk quote request
Western blot testing of 1) rat brain, 2) mouse brain, and human 3) HeLa, 4) SW620, 5) 293 and 6) Jurkat lysate with RAB5 antibody. Expected/observed molecular weight ~25 kDa.
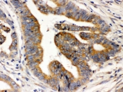
IHC testing of FFPE human intestinal cancer tissue with RAB5 antibody. HIER: Boil the paraffin sections in pH 6, 10mM citrate buffer for 20 minutes and allow to cool prior to staining.
Availability 1-3 business days
Species Reactivity Human, Mouse, Rat
Format Antigen affinity purified
Clonality Polyclonal (rabbit origin)
Isotype Rabbit IgG
Purity Antigen affinity
Buffer Lyophilized from 1X PBS with 2.5% BSA and 0.025% sodium azide
UniProt P20339
Localization Cytoplasmic
Applications Western Blot : 0.1-0.5ug/ml
IHC (FFPE) : 0.5-1ug/ml
Limitations This RAB5 antibody is available for research use only.
Review this product on BioCompare and get a $20 Amazon gift card

Related Products

  • Applications : WB, FACS, IF
    Reactivity : Human, Mouse, Rat
  • Applications : WB, IHC-P
    Reactivity : Human, Mouse, Rat
  • Applications : WB, IHC, IF, FACS, ELISA
    Reactivity : Human
  • Applications : WB
    Reactivity : Zebrafish

Description

RAB5A (Ras-associated protein RAB5A), also called RAB5, is a protein that in humans is encoded by the RAB5A gene. RAB5 is a rate-limiting component of the machinery regulating the kinetics of membrane traffic in the early endocytic pathway. The RAB5A gene is mapped on 3p24.3. RAB5 is indispensable for a form of receptor tyrosine kinase-induced actin remodeling called circular ruffling. It signals to the actin cytoskeleton through RNTRE, a RAB5-specific GTPase-activating protein (GAP). RAB5 activity on phagosome membranes began to increase on disassembly of the actin coat encapsulating phagosomes.

Application Notes

Optimal dilution of the RAB5 antibody should be determined by the researcher.

Immunogen

Amino acids KKLPKNEPQNPGANSARGRGVDLTEPTQPTRNQCCSN of human RAB5A were used as the immunogen for the RAB5 antibody.

Storage

After reconstitution, the RAB5 antibody can be stored for up to one month at 4oC. For long-term, aliquot and store at -20oC. Avoid repeated freezing and thawing.

Cross
Bulk Quote Request Form
Name*:
Organization*:
Email*:
Phone Number*:
Catalog No.*:
Comments and Specifics(amount, formulation, etc.)*:
Validation code: Captchapackage Image


Can't read the image? click here to refresh.
    *required field

Your bulk quote request has been submitted successfully!

Please contact us if you have any questions.