• Tel: 858.663.9055
  • SeparatorEmail: info@nsjbio.com
  • Tel: 858.663.9055
  • Email: info@nsjbio.com
Home >> Antibodies >> RAB11B Antibody

RAB11B Antibody [clone 6C5] (RQ5671)

  Catalog No Formulation Size Price (USD)  
Image RQ5671 0.5mg/ml if reconstituted with 0.2ml sterile DI water 100 ug 439
Bulk quote request
Immunofluorescent staining of FFPE human MCF7 cells with RAB11B antibody (green) and DAPI nuclear stain (blue). HIER: steam section in pH6 citrate buffer for 20 min.
Flow cytometry testing of human Caco-2 cells with RAB11B antibody at 1ug/million cells (blocked with goat sera); Red=cells alone, Green=isotype control, Blue= RAB11B antibody.
Western blot testing of human 1) HEK293, 2) HeLa, 3) A549, 4) placenta, 5) HepG2, 6) Caco-2, 7) ThP-1 and 8) Raji lysate with RAB11B antibody. Predicted molecular weight ~24 kDa.
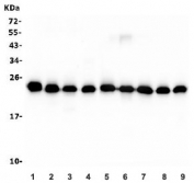
Western blot testing of rat 1) brain, 2) lung, 3) spleen, 4) C6 and mouse 5) brain, 6) lung, 7) spleen, 8) Neuro-2a and 9) RAW264.7 lysate with RAB11B antibody. Predicted molecular weight ~24 kDa.
Availability 1-3 business days
Species Reactivity Human, Mouse, Rat
Format Antigen affinity purified
Clonality Monoclonal
Isotype Mouse IgG2b
Clone Name 6C5
Purity Affinity purified
Buffer Lyophilized from 1X PBS with 2% Trehalose and 0.025% sodium azide
UniProt Q15907
Applications Western Blot : 0.5-1ug/ml
Immunofluorescence : 2-4ug/ml
Flow Cytometry : 1-3ug/million cells
Limitations This RAB11B antibody is available for research use only.
Review this product on BioCompare and get a $20 Amazon gift card

Related Products

  • Applications : WB, IHC-P, FACS, IF
    Reactivity : Human, Mouse, Rat

Description

Ras-related protein Rab-11B is a protein that in humans is encoded by the RAB11B gene. It is mapped to 19p13.2. The Ras superfamily of small GTP-binding proteins, which includes the Ras, Ral, Rho, Rap, and Rab families, is involved in controlling a diverse set of essential cellular functions. The Rab family, including RAB11B, appears to play a critical role in regulating exocytotic and endocytotic pathways.

Application Notes

Optimal dilution of the RAB11B antibody should be determined by the researcher.

Immunogen

Amino acids QKQIADRAAHDESPGNNVVDISVPPTTDGQKPNKLQCC from the human protein were used as the immunogen for the RAB11B antibody.

Storage

After reconstitution, the RAB11B antibody can be stored for up to one month at 4oC. For long-term, aliquot and store at -20oC. Avoid repeated freezing and thawing.

Cross
Bulk Quote Request Form
Name*:
Organization*:
Email*:
Phone Number*:
Catalog No.*:
Comments and Specifics(amount, formulation, etc.)*:
Validation code: Captchapackage Image


Can't read the image? click here to refresh.
    *required field

Your bulk quote request has been submitted successfully!

Please contact us if you have any questions.