• Tel: 858.663.9055
  • SeparatorEmail: info@nsjbio.com
  • Tel: 858.663.9055
  • Email: info@nsjbio.com
Home >> Antibodies >> RAB11A Antibody

RAB11A Antibody [clone 4H9] (RQ6583)

  Catalog No Formulation Size Price (USD)  
Image RQ6583 0.5mg/ml if reconstituted with 0.2ml sterile DI water 100 ug 439
Bulk quote request
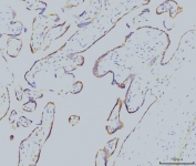
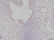
IHC staining of FFPE human gastric carcinoma tissue with RAB11A antibody. HIER: boil tissue sections in pH8 EDTA for 20 min and allow to cool before testing.
IHC staining of FFPE human spleen tissue with RAB11A antibody. HIER: boil tissue sections in pH8 EDTA for 20 min and allow to cool before testing.
IHC staining of FFPE human placental tissue with RAB11A antibody. HIER: boil tissue sections in pH8 EDTA for 20 min and allow to cool before testing.
Immunofluorescent staining of FFPE human T-47D cells with RAB11A antibody (green) and DAPI nuclear stain (blue). HIER: steam section in pH6 citrate buffer for 20 min.
Western blot testing of 1) human HeLa, 2) human placenta, 3) human COLO-320, 4) human MDA-MB-453, 5) rat testis, 6) rat brain, 7) mouse testis and 8) mouse brain tissue lysate with RAB11A antibody. Predicted molecular weight: ~25 kDa.
Flow cytometry testing of human U937 cells with RAB11A antibody at 1ug/million cells (blocked with goat sera); Red=cells alone, Green=isotype control, Blue= RAB11A antibody.
Flow cytometry testing of mouse ANA-1 cells with RAB11A antibody at 1ug/million cells (blocked with goat sera); Red=cells alone, Green=isotype control, Blue= RAB11A antibody.
Flow cytometry testing of rat RH35 cells with RAB11A antibody at 1ug/million cells (blocked with goat sera); Red=cells alone, Green=isotype control, Blue= RAB11A antibody.
Availability 1-3 business days
Species Reactivity Human, Mouse, Rat
Format Antigen affinity purified
Clonality Monoclonal (mouse origin)
Isotype Mouse IgG2b
Clone Name 4H9
Purity Antigen affinity purified
Buffer Lyophilized from 1X PBS with 2% Trehalose
UniProt P62491
Localization Cytoplasmic, cell membrane
Applications Western Blot : 1-2ug/ml
Immunohistochemistry (FFPE) : 2-5ug/ml
Immunofluorescence (FFPE) : 5ug/ml
Flow Cytometry : 1-3ug/million cells
Limitations This RAB11A antibody is available for research use only.
Review this product on BioCompare and get a $20 Amazon gift card

Related Products

  • Applications : WB, IP
    Reactivity : Human, Mouse, Rat
  • Applications : WB, ELISA (peptide)
    Reactivity : Human, Mouse
    Pred. Reactivity : Cow, Rat
  • Applications : WB, IF, FACS
    Reactivity : Human, Mouse, Rat

Description

Ras-related protein Rab-11A is a protein that in humans is encoded by the RAB11A gene. The protein encoded by this gene belongs to the small GTPase superfamily, Rab family which plays essential roles in vesicle and granule targeting. It is mapped to 15q22.31. RAB11A is associated with both constitutive and regulated secretory pathways, and may be involved in protein transport. Additionally, RAB11A can control intracellular trafficking of the innate immune receptor TLR4, and thereby also receptor signaling. It has been shown to interact with RAB11FIP2, RAB11FIP4, and RAB11FIP1 and so on.

Application Notes

Optimal dilution of the RAB11A antibody should be determined by the researcher.

Immunogen

C-terminal region amino acids EIYRIVSQKQMSDRRENDMSPSNNVVPIHVPPTTENKPKVQ from the human protein were used as the immunogen for the RAB11A antibody.

Storage

After reconstitution, the RAB11A antibody can be stored for up to one month at 4oC. For long-term, aliquot and store at -20oC. Avoid repeated freezing and thawing.

Cross
Bulk Quote Request Form
Name*:
Organization*:
Email*:
Phone Number*:
Catalog No.*:
Comments and Specifics(amount, formulation, etc.)*:
Validation code: Captchapackage Image


Can't read the image? click here to refresh.
    *required field

Your bulk quote request has been submitted successfully!

Please contact us if you have any questions.