• Tel: 858.663.9055
  • SeparatorEmail: info@nsjbio.com
  • Tel: 858.663.9055
  • Email: info@nsjbio.com
Home >> Antibodies >> QKI Antibody / Protein Quaking

QKI Antibody / Protein Quaking (FY12705)

  Catalog No Formulation Size Price (USD)  
Image FY12705 Adding 0.2 ml of distilled water will yield a concentration of 500 ug/ml 100 ug 439
Bulk quote request
Immunohistochemical staining of QKI using anti-QKI antibody. QKI was detected in a paraffin-embedded section of human glioma tissue. Heat mediated antigen retrieval was performed in EDTA buffer (pH 8.0, epitope retrieval solution). The tissue section was blocked with 10% goat serum. The tissue section was then incubated with 2 ug/ml rabbit anti-QKI antibody overnight at 4oC. Peroxidase Conjugated Goat Anti-rabbit IgG was used as secondary antibody and incubated for 30 minutes at 37oC. The tissue section was developed using an HRP secondary and DAB substrate.
Western blot analysis of QKI using anti-QKI antibody. Electrophoresis was performed on a 10% SDS-PAGE gel at 80V (Stacking gel) / 120V (Resolving gel) for 2 hours. Lane 1: human SK-OV-3 whole cell lysates, Lane 2: monkey Cos-7 whole cell lysates, Lane 3: human U251 whole cell lysates, Lane 4: human K562 whole cell lysates, Lane 5: rat brain tissue lysates, Lane 6: rat C6 whole cell lysates, Lane 7: mouse brain tissue lysates, Lane 8: mouse Neuro-2a whole cell lysates. After electrophoresis, proteins were transferred to a nitrocellulose membrane at 150 mA for 50-90 minutes. Blocked the membrane with 5% non-fat milk/TBS for 1.5 hour at RT. The membrane was incubated with rabbit anti-QKI antibody at 0.5 ug/ml overnight at 4oC, then washed with TBS-0.1%Tween 3 times with 5 minutes each and probed with a goat anti-rabbit IgG-HRP secondary antibody at a dilution of 1:5000 for 1.5 hour at RT. The signal was developed using an ECL Plus Western Blotting Substrate. A specific band was detected for QKI at approximately 38 kDa. The expected molecular weight of QKI is ~38 kDa.
Immunohistochemical staining of QKI using anti-QKI antibody. QKI was detected in a paraffin-embedded section of human bladder cancer tissue. Heat mediated antigen retrieval was performed in EDTA buffer (pH 8.0, epitope retrieval solution). The tissue section was blocked with 10% goat serum. The tissue section was then incubated with 2 ug/ml rabbit anti-QKI antibody overnight at 4oC. Peroxidase Conjugated Goat Anti-rabbit IgG was used as secondary antibody and incubated for 30 minutes at 37oC. The tissue section was developed using an HRP secondary and DAB substrate.
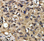
Immunohistochemical staining of QKI using anti-QKI antibody. QKI was detected in a paraffin-embedded section of human renal cancer tissue. Heat mediated antigen retrieval was performed in EDTA buffer (pH 8.0, epitope retrieval solution). The tissue section was blocked with 10% goat serum. The tissue section was then incubated with 2 ug/ml rabbit anti-QKI antibody overnight at 4oC. Peroxidase Conjugated Goat Anti-rabbit IgG was used as secondary antibody and incubated for 30 minutes at 37oC. The tissue section was developed using an HRP secondary and DAB substrate.
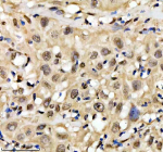
Immunohistochemical staining of QKI using anti-QKI antibody. QKI was detected in a paraffin-embedded section of human breast cancer tissue. Heat mediated antigen retrieval was performed in EDTA buffer (pH 8.0, epitope retrieval solution). The tissue section was blocked with 10% goat serum. The tissue section was then incubated with 2 ug/ml rabbit anti-QKI antibody overnight at 4oC. Peroxidase Conjugated Goat Anti-rabbit IgG was used as secondary antibody and incubated for 30 minutes at 37oC. The tissue section was developed using an HRP secondary and DAB substrate.
Immunohistochemical staining of QKI using anti-QKI antibody. QKI was detected in a paraffin-embedded section of mouse brain tissue. Heat mediated antigen retrieval was performed in EDTA buffer (pH 8.0, epitope retrieval solution). The tissue section was blocked with 10% goat serum. The tissue section was then incubated with 2 ug/ml rabbit anti-QKI antibody overnight at 4oC. Peroxidase Conjugated Goat Anti-rabbit IgG was used as secondary antibody and incubated for 30 minutes at 37oC. The tissue section was developed using an HRP secondary and DAB substrate.
Immunohistochemical staining of QKI using anti-QKI antibody. QKI was detected in a paraffin-embedded section of rat brain tissue. Heat mediated antigen retrieval was performed in EDTA buffer (pH 8.0, epitope retrieval solution). The tissue section was blocked with 10% goat serum. The tissue section was then incubated with 2 ug/ml rabbit anti-QKI antibody overnight at 4oC. Peroxidase Conjugated Goat Anti-rabbit IgG was used as secondary antibody and incubated for 30 minutes at 37oC. The tissue section was developed using an HRP secondary and DAB substrate.
Immunofluorescent staining of QKI using anti-QKI antibody (green) and anti-Beta Tubulin antibody (red). QKI was detected in an immunocytochemical section of cells. Enzyme antigen retrieval was performed using IHC enzyme antigen retrieval reagent for 15 mins. The cells were blocked with 10% goat serum. And then incubated with 5 ug/ml rabbit anti-QKI antibody and mouse anti-Beta Tubulin antibody overnight at 4oC. DyLight 488 Conjugated Goat Anti-Rabbit IgG and Cy3 Conjugated Goat Anti-Mouse IgG were used as secondary antibody at 1:500 dilution and incubated for 30 minutes at 37oC. Visualize using a fluorescence microscope and filter sets appropriate for the label used.
Immunoprecipitating QKI in K562 whole cell lysate. Western blot analysis of QKI using anti-QKI antibody. Lane 1: K562 whole cell lysates (30ug), Lane 2: Rabbit control IgG instead of anti-QKI antibody in K562 whole cell lysate, Lane 3: anti-QKI antibody (2ug) + K562 whole cell lysate (500ug). After electrophoresis, proteins were transferred to a membrane. Then the membrane was incubated with rabbit anti-QKI antibody at a dilution of 0.5 ug/ml and probed with a goat anti-rabbit IgG-HRP secondary antibody. The signal is developed using ECL Plus Western Blotting Substrate. A specific band was detected for QKI at approximately 38 kDa. The expected molecular weight of QKI is at 38 kDa.
Flow Cytometry analysis of mouse Neuro-2a cells using anti-QKI antibody. Overlay histogram showing Neuro-2a cells stained with (Blue line). To facilitate intracellular staining, cells were fixed with 4% paraformaldehyde and permeabilized with permeabilization buffer. The cells were blocked with 10% normal goat serum. And then incubated with rabbit anti-QKI antibody (1 ug/million cells) for 30 min at 20oC. DyLight 488 conjugated goat anti-rabbit IgG (5-10 ug/million cells) was used as secondary antibody for 30 minutes at 20oC. Isotype control antibody (Green line) was rabbit IgG (1 ug/million cells) used under the same conditions. Unlabelled sample without incubation with primary antibody and secondary antibody (Red line) was used as a blank control.
Flow Cytometry analysis of human U-251 cells using anti-QKI antibody. Overlay histogram showing Neuro-2a cells stained with (Blue line). To facilitate intracellular staining, cells were fixed with 4% paraformaldehyde and permeabilized with permeabilization buffer. The cells were blocked with 10% normal goat serum. And then incubated with rabbit anti-QKI antibody (1 ug/million cells) for 30 min at 20oC. DyLight 488 conjugated goat anti-rabbit IgG (5-10 ug/million cells) was used as secondary antibody for 30 minutes at 20oC. Isotype control antibody (Green line) was rabbit IgG (1 ug/million cells) used under the same conditions. Unlabelled sample without incubation with primary antibody and secondary antibody (Red line) was used as a blank control.
Availability 1-2 days
Species Reactivity Human, Mouse, Rat, Monkey
Format Lyophilized
Clonality Polyclonal (rabbit origin)
Isotype Rabbit IgG
Purity Immunogen affinity purified
Buffer Each vial contains 4 mg Trehalose, 0.9 mg NaCl, 0.2 mg Na2HPO4.
UniProt Q96PU8
Localization Nuclear, cytoplasmic
Applications Western Blot : 0.25-0.5ug/ml
Immunohistochemistry : 2-5ug/ml
Immunocytochemistry/Immunofluorescence : 5ug/ml
Immunoprecipitation : 2-4ug/500ug of lysate
Flow Cytometry : 1-3ug/million cells
ELISA : 0.1-0.5ug/ml
Limitations This QKI antibody is available for research use only.
Review this product on BioCompare and get a $20 Amazon gift card

Related Products

Description

QKI antibody detects Protein quaking (also known as KH domain-containing RNA-binding protein QKI), a member of the STAR (Signal Transduction and Activation of RNA) family of RNA-binding proteins that regulate mRNA splicing, export, stability, and translation. Encoded by the QKI gene on chromosome 6q26, this protein plays an essential role in myelination, neural development, and cell differentiation. QKI contains a single KH (hnRNP K homology) RNA-binding domain and functions as both a translational repressor and splicing modulator depending on cellular context. The protein binds specific RNA motifs known as Quaking Response Elements (QREs), influencing alternative splicing patterns in numerous genes that control cytoskeletal dynamics and myelin sheath formation.

QKI exists in multiple isoforms�QKI-5, QKI-6, and QKI-7�generated through alternative splicing of the C-terminal region. These isoforms differ in subcellular localization and function: QKI-5 resides predominantly in the nucleus and regulates pre-mRNA splicing, QKI-6 shuttles between the nucleus and cytoplasm to coordinate mRNA export and translation, and QKI-7 localizes mainly in the cytoplasm where it modulates mRNA stability. Collectively, these isoforms maintain neuronal and glial cell homeostasis. Mutations or loss of QKI disrupt oligodendrocyte maturation and cause hypomyelination, while abnormal expression contributes to neurodevelopmental disorders and gliomas.

The QKI antibody is widely used in neuroscience and RNA biology research to study RNA metabolism and myelin formation. Western blot analysis detects bands corresponding to the major QKI isoforms ranging from 38 to 45 kilodaltons. Immunofluorescence with this antibody reveals nuclear and cytoplasmic localization patterns depending on isoform distribution and cell type. In the central nervous system, QKI is expressed in oligodendrocytes, astrocytes, and neurons, where it modulates the expression of myelin-related genes such as MBP and PLP1. This makes the QKI antibody a valuable reagent for investigating myelination, glial cell biology, and post-transcriptional regulation.

Beyond the nervous system, QKI influences epithelial-mesenchymal transition, vascular smooth muscle differentiation, and cardiac development. It has also been implicated in tumor suppression, with reduced expression linked to glioblastoma and colorectal cancer progression. The protein interacts with signaling molecules including STAT1 and AKT, suggesting integration between RNA processing and signal transduction. Researchers employ the QKI antibody to monitor these molecular pathways, exploring how altered RNA regulation drives disease phenotypes. NSJ Bioreagents provides this antibody validated for western blot, immunohistochemistry, and immunofluorescence, ensuring reliable results across species and tissue types.

Application Notes

Optimal dilution of the QKI antibody should be determined by the researcher.

Immunogen

E.coli-derived human QKI recombinant protein (Position: M1-N341) was used as the immunogen for the QKI antibody.

Storage

After reconstitution, the QKI antibody can be stored for up to one month at 4oC. For long-term, aliquot and store at -20oC. Avoid repeated freezing and thawing.

Cross
Bulk Quote Request Form
Name*:
Organization*:
Email*:
Phone Number*:
Catalog No.*:
Comments and Specifics(amount, formulation, etc.)*:
Validation code: Captchapackage Image


Can't read the image? click here to refresh.
    *required field

Your bulk quote request has been submitted successfully!

Please contact us if you have any questions.