- Tel: 858.663.9055
- 
									 Email: info@nsjbio.com Email: info@nsjbio.com
- Tel: 858.663.9055
- Email: info@nsjbio.com
 Email: info@nsjbio.com
Email: info@nsjbio.com
								Related Products
| 
 | 
The Peptide YY antibody is designed to detect mouse and rat peptide YY (PYY), a gut hormone secreted by enteroendocrine L cells of the distal ileum and colon following food intake. In rodents, PYY functions as a key regulator of satiety and gastrointestinal motility, acting through neuropeptide Y receptors to reduce appetite and slow digestion. Like the human hormone, rodent PYY circulates as PYY1-36 and PYY3-36, but minor sequence differences alter receptor interactions and signaling. The Peptide YY antibody provides sensitive detection of PYY in rodents, supporting preclinical studies of energy balance and gut-brain communication. 
Rodent PYY shares extensive homology with its human counterpart, yet the differences in receptor binding make animal models essential for investigating pharmacological strategies targeting PYY. Following nutrient ingestion, rodent PYY is released in proportion to caloric intake, influencing feeding behavior, gastric emptying, and insulin regulation. The Peptide YY antibody enables accurate detection of this hormone in both tissue and serum, providing a foundation for metabolic and endocrine research. 
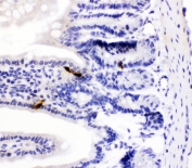
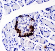
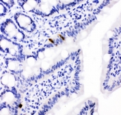
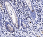
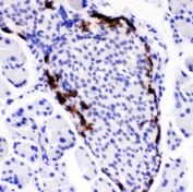
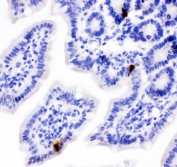
In immunohistochemistry, the Peptide YY antibody marks PYY-positive L cells scattered throughout the intestinal mucosa, revealing changes in hormone cell density under different dietary or experimental conditions. In immunofluorescence, it highlights storage granules within enteroendocrine cells, while in western blotting and ELISA, it quantifies PYY levels in tissue extracts and plasma samples. Its consistency supports reproducible measurement of rodent gut hormones across experiments. 
This antibody is particularly important in obesity and diabetes research, where rodent models provide mechanistic insights into PYY secretion and function. It is also widely used in neurobiology, as PYY signals to the brain through vagal afferents and hypothalamic pathways, influencing energy balance and feeding behavior. Synonym phrases such as mouse PYY antibody, rat peptide YY antibody, and rodent satiety hormone antibody improve accessibility for researchers in different disciplines. 
By ensuring validated and reproducible detection, the Peptide YY antibody supports high-quality research into rodent gut hormones and metabolic regulation. NSJ Bioreagents supplies this antibody under stringent quality standards, giving scientists confidence in applications such as western blotting, immunohistochemistry, immunofluorescence, and ELISA. With specificity for rodent PYY, the Peptide YY antibody is a critical tool for advancing preclinical studies in energy balance, appetite regulation, and gut-brain signaling.
Optimal dilution of the PYY antibody should be determined by the researcher.
Amino acids 29-64 (YPAKPEAPGEDASPEELSRYYASLRHYLNLVTRQRY) from the mouse protein were used as the immunogen for the PYY antibody.
Prior to reconstitution, store at 4oC. After reconstitution, the PYY antibody can be stored for up to one month at 4oC. For long-term, aliquot and store at -20oC. Avoid repeated freezing and thawing.
 
Your bulk quote request has been submitted successfully!
Please contact us if you have any questions.