• Tel: 858.663.9055
  • SeparatorEmail: info@nsjbio.com
  • Tel: 858.663.9055
  • Email: info@nsjbio.com
Home >> Antibodies >> Pyruvate Kinase Antibody / OIP-3 / PKM2

Pyruvate Kinase Antibody / OIP-3 / PKM2 [clone 11I4C3] (RQ6751)

  Catalog No Formulation Size Price (USD)  
Image RQ6751 0.5mg/ml if reconstituted with 0.2ml sterile DI water 100 ug 439
Bulk quote request
Immunofluorescent staining of FFPE human A549 cells with Pyruvate Kinase antibody (green) and DAPI nuclear stain (blue). HIER: steam section in pH6 citrate buffer for 20 min.
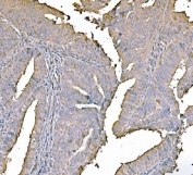
IHC staining of FFPE differentiated adenocarcinoma of the human rectum tissue with Pyruvate Kinase antibody. HIER: boil tissue sections in pH8 EDTA for 20 min and allow to cool before testing.
IHC staining of FFPE human liver cancer tissue with Pyruvate Kinase antibody. HIER: boil tissue sections in pH8 EDTA for 20 min and allow to cool before testing.
Western blot testing of human 1) HeLa, 2) Jurkat and 3) SH-SY5Y cell lysate with Pyruvate Kinase antibody. Predicted molecular weight ~58 kDa.
Flow cytometry testing of human HeLa cells with Pyruvate Kinase antibody at 1ug/million cells (blocked with goat sera); Red=cells alone, Green=isotype control, Blue= Pyruvate Kinase antibody.
Availability 1-3 business days
Species Reactivity Human
Format Purified
Clonality Monoclonal (mouse origin)
Isotype Mouse IgG2b
Clone Name 11I4C3
Purity Antigen affinity purified
Buffer Lyophilized from 1X PBS with 2% Trehalose
UniProt P14618
Localization Cytoplasmic, nuclear
Applications Western Blot : 1-2ug/ml
Immunohistochemistry (FFPE) : 2-5ug/ml
Immunofluorescence (FFPE) : 5ug/ml
Flow Cytometry : 1-3ug/million cells
Limitations This Pyruvate Kinase antibody is available for research use only.
Review this product on BioCompare and get a $20 Amazon gift card

Related Products

Description

PKM (Pyruvate Kinase, Muscle), also known as OIP-3, PK3 and PKM2, is an enzyme that in humans is encoded by the PKM gene. The activity of pyruvate kinase subtype M2 is increased by fructose 1, 6-bisphosphate (Fru-1, 6-P2). By in situ hybridization, Popescu and Cheng (1990) mapped the THBP1 gene to 15q24-q25. Ashizawa et al. (1991) manipulated the intracellular Fru-1, 6-P2 concentration in several mammalian cell lines, including human, by varying the glucose concentration in the media. Using a novel proteomic screen for phosphotyrosine-binding proteins, Christofk et al. (2008) observed that PKM2 binds directly and selectively to tyrosine-phosphorylated peptides.

Application Notes

Optimal dilution of the Pyruvate Kinase antibody should be determined by the researcher.

Immunogen

N-terminal region amino acids KDPVQEAWAEDVDLRVNFAMNVGKAR from the human protein were used as the immunogen for the Pyruvate Kinase antibody.

Storage

After reconstitution, the Pyruvate Kinase antibody can be stored for up to one month at 4oC. For long-term, aliquot and store at -20oC. Avoid repeated freezing and thawing.

Cross
Bulk Quote Request Form
Name*:
Organization*:
Email*:
Phone Number*:
Catalog No.*:
Comments and Specifics(amount, formulation, etc.)*:
Validation code: Captchapackage Image


Can't read the image? click here to refresh.
    *required field

Your bulk quote request has been submitted successfully!

Please contact us if you have any questions.