• Tel: 858.663.9055
  • SeparatorEmail: info@nsjbio.com
  • Tel: 858.663.9055
  • Email: info@nsjbio.com
Home >> Antibodies >> Pyruvate dehydrogenase kinase 4 Antibody / PDK4

Pyruvate dehydrogenase kinase 4 Antibody / PDK4 (RQ8545)

  Catalog No Formulation Size Price (USD)  
Image RQ8545 0.5mg/ml if reconstituted with 0.2ml sterile DI water 100 ug 439
Bulk quote request
Immunofluorescent staining of FFPE human squamous cell carcinoma tissue with Pyruvate dehydrogenase kinase 4 antibody (red) and DAPI nuclear stain (blue). HIER: steam section in pH8 EDTA buffer for 20 min.
Immunofluorescent staining of FFPE human HeLa cells with Pyruvate dehydrogenase kinase 4 antibody (green) and DAPI nuclear stain (blue). HIER: steam section in pH6 citrate buffer for 20 min.
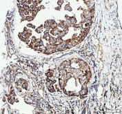
IHC staining of FFPE human lung cancer tissue with Pyruvate dehydrogenase kinase 4 antibody. HIER: boil tissue sections in pH8 EDTA for 20 min and allow to cool before testing.
Western blot testing of 1) rat heart and 2) mouse heart tissue lysate with Pyruvate dehydrogenase kinase 4 antibody. Predicted molecular weight ~46 kDa.
Flow cytometry testing of fixed and permeabilized human HeLa cells with Pyruvate dehydrogenase kinase 4 antibody at 1ug/million cells (blocked with goat sera); Red=cells alone, Green=isotype control, Blue= Pyruvate dehydrogenase kinase 4 antibody.
Availability 1-3 days
Species Reactivity Human, Mouse, Rat
Format Antigen affinity purified
Clonality Polyclonal (rabbit origin)
Isotype Rabbit IgG
Purity Antigen affinity purified
Buffer Lyophilized from 1X PBS with 2% Trehalose
UniProt Q16654
Localization Cytoplasm
Applications Western Blot : 0.5-1ug/ml
Immunohistochemistry (FFPE) : 2-5ug/ml
Immunofluorescence : 5ug/ml
Flow Cytometry : 1-3ug/million cells
ELISA : 0.1-0.5ug/ml
Limitations This Pyruvate dehydrogenase kinase 4 antibody is available for research use only.
Review this product on BioCompare and get a $20 Amazon gift card

Related Products

Description

Pyruvate dehydrogenase lipoamide kinase isozyme 4, mitochondrial (PDK4) is an enzyme that in humans is encoded by the PDK4 gene. This gene is a member of the PDK/BCKDK protein kinase family and encodes a mitochondrial protein with a histidine kinase domain. This protein is located in the matrix of the mitrochondria and inhibits the pyruvate dehydrogenase complex by phosphorylating one of its subunits, thereby contributing to the regulation of glucose metabolism. Expression of this gene is regulated by glucocorticoids, retinoic acid and insulin.

Application Notes

Optimal dilution of the Pyruvate dehydrogenase kinase 4 antibody should be determined by the researcher.

Immunogen

An E.coli-derived human recombinant protein (amino acids V85-N129) was used as the immunogen for the Pyruvate dehydrogenase kinase 4 antibody.

Storage

After reconstitution, the Pyruvate dehydrogenase kinase 4 antibody can be stored for up to one month at 4oC. For long-term, aliquot and store at -20oC. Avoid repeated freezing and thawing.

Cross
Bulk Quote Request Form
Name*:
Organization*:
Email*:
Phone Number*:
Catalog No.*:
Comments and Specifics(amount, formulation, etc.)*:
Validation code: Captchapackage Image


Can't read the image? click here to refresh.
    *required field

Your bulk quote request has been submitted successfully!

Please contact us if you have any questions.