• Tel: 858.663.9055
  • SeparatorEmail: info@nsjbio.com
  • Tel: 858.663.9055
  • Email: info@nsjbio.com
Home >> Antibodies >> Pyrin Antibody / Marenostrin / MEFV

Pyrin Antibody / Marenostrin / MEFV (RQ6718)

  Catalog No Formulation Size Price (USD)  
Image RQ6718 0.5mg/ml if reconstituted with 0.2ml sterile DI water 100 ug 439
Bulk quote request
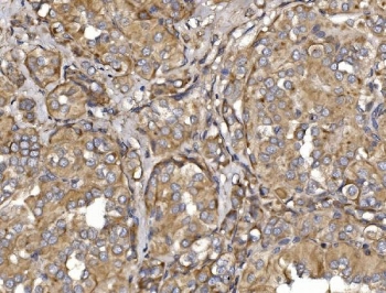
IHC staining of FFPE human thyroid papillary carcinoma tissue with Pyrin antibody. HIER: boil tissue sections in pH8 EDTA for 20 min and allow to cool before testing.
Immunofluorescent staining of FFPE human HeLa cells with Pyrin antibody (green) and DAPI nuclear stain (blue). HIER: steam section in pH6 citrate buffer for 20 min.
Western blot testing of 1) human HeLa, 2) human U-87 MG, 3) human Raji, 4) mouse spleen and 5) mouse lung tissue lysate with Pyrin antibody. Predicted molecular weight ~86 kDa.
Flow cytometry testing of human U937 cells with Pyrin antibody at 1ug/million cells (blocked with goat sera); Red=cells alone, Green=isotype control, Blue= Pyrin antibody.
Availability 1-3 business days
Species Reactivity Human, Mouse
Format Antigen affinity purified
Clonality Polyclonal (rabbit origin)
Isotype Rabbit IgG
Purity Antigen affinity purified
Buffer Lyophilized from 1X PBS with 2% Trehalose
UniProt O15553
Localization Cytoplasmic, nuclear
Applications Western Blot : 1-2ug/ml
Immunohistochemistry (FFPE) : 2-5ug/ml
Immunofluorescence (FFPE) : 5ug/ml
Flow Cytometry : 1-3ug/million cells
Direct ELISA : 0.1-0.5ug/ml
Limitations This Pyrin antibody is available for research use only.
Review this product on BioCompare and get a $20 Amazon gift card

Related Products

Description

MEFV (Mediterranean fever) is a human gene that provides instructions for making a protein called pyrin (also known as marenostrin). Pyrin is produced in certain white blood cells (neutrophils, eosinophils and monocytes) that play a role in inflammation and in fighting infection. Inside these white blood cells, pyrin is found with thecytoskeleton, the structural framework that helps to define the shape, size, and movement of a cell. Pyrin's protein structure also allows it to interact with other molecules involved in fighting infection and in the inflammatory response. Although pyrin's function is not fully understood, it likely assists in keeping the inflammation process under control. Research indicates that pyrin helps regulate inflammation by interacting with the cytoskeleton. And Pyrin may direct the migration of white blood cells to sites of inflammation and stop or slow the inflammatory response when it is no longer needed.

Application Notes

Optimal dilution of the Pyrin antibody should be determined by the researcher.

Immunogen

Recombinant human protein (amino acids Q463-D781) was used as the immunogen for the Pyrin antibody.

Storage

After reconstitution, the Pyrin antibody can be stored for up to one month at 4oC. For long-term, aliquot and store at -20oC. Avoid repeated freezing and thawing.

Cross
Bulk Quote Request Form
Name*:
Organization*:
Email*:
Phone Number*:
Catalog No.*:
Comments and Specifics(amount, formulation, etc.)*:
Validation code: Captchapackage Image


Can't read the image? click here to refresh.
    *required field

Your bulk quote request has been submitted successfully!

Please contact us if you have any questions.