• Tel: 858.663.9055
  • SeparatorEmail: info@nsjbio.com
  • Tel: 858.663.9055
  • Email: info@nsjbio.com
Home >> Antibodies >> Purine Nucleoside Phosphorylase Antibody / PNP

Purine Nucleoside Phosphorylase Antibody / PNP (R32597)

  Catalog No Formulation Size Price (USD)  
Image R32597 0.5mg/ml if reconstituted with 0.2ml sterile DI water 100 ug 439
Bulk quote request
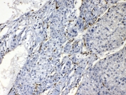
IHC testing of FFPE human renal cancer tissue with Purine nucleoside phosphorylase antibody at 1ug/ml. HIER: steam section in pH6 citrate buffer for 20 min.
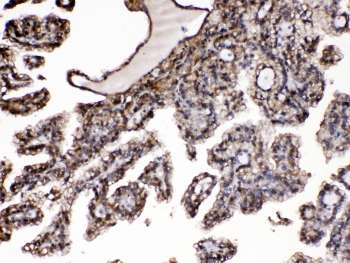
IHC testing of FFPE human liver cancer tissue with Purine nucleoside phosphorylase antibody at 1ug/ml. HIER: steam section in pH6 citrate buffer for 20 min.
Western blot testing of 1) human 293T, 2) human PC-3 and 3) rat liver lysate using Purine nucleoside phosphorylase antibody at 0.5ug/ml. Predicted molecular weight: 32-34 kDa.
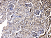
IHC testing of FFPE mouse kidney tissue with Purine nucleoside phosphorylase antibody at 1ug/ml. HIER: steam section in pH6 citrate buffer for 20 min.
IHC testing of FFPE rat kidney tissue with Purine nucleoside phosphorylase antibody at 1ug/ml. HIER: steam section in pH6 citrate buffer for 20 min.
Flow cytometry testing of human U-251 MG cells with Purine Nucleoside Phosphorylase antibody at 1ug/10^6 cells (blocked with goat sera); Red=cells alone, Green=isotype control, Blue=Purine Nucleoside Phosphorylase antibody.
Flow cytometry testing of human U937 MG cells with Purine Nucleoside Phosphorylase antibody at 1ug/10^6 cells (blocked with goat sera); Red=cells alone, Green=isotype control, Blue=Purine Nucleoside Phosphorylase antibody.
Availability 1-3 business days
Species Reactivity Human, Mouse, Rat
Format Antigen affinity purified
Clonality Polyclonal (rabbit origin)
Isotype Rabbit IgG
Purity Antigen affinity
Buffer Lyophilized from 1X PBS with 2.5% BSA and 0.025% sodium azide
UniProt P00491
Localization Cytoplasmic
Applications Western Blot : 0.5-1ug/ml
Immunohistochemistry (FFPE) : 1-2ug/ml
Flow Cytometry : 1-3ug/10^6 cells
Limitations This Purine nucleoside phosphorylase antibody is available for research use only.
Review this product on BioCompare and get a $20 Amazon gift card

Related Products

Description

The PNP gene encodes Purine nucleoside phosphorylase, an enzyme that catalyzes the reversible phosphorolysis of the purine nucleosides and deoxynucleosides inosine, guanosine, deoxyinosine, and deoxyguanosine. It is presented results from gene dosage studies consistent with assignment of the PNP locus to band 14q13. PNP is expressed in most tissues, with markedly greater expression in lymphoid tissues. Genetic deficiencies of PNP result in severely compromised T-lymphocyte function and neurologic dysfunction.

Application Notes

Optimal dilution of the Purine nucleoside phosphorylase antibody should be determined by the researcher.

Immunogen

Amino acids 161-189 (AMSDAYDRTMRQRALSTWKQMGEQRELQE-human) were used as the immunogen for the Purine nucleoside phosphorylase antibody.

Storage

After reconstitution, the Purine nucleoside phosphorylase antibody can be stored for up to one month at 4oC. For long-term, aliquot and store at -20oC. Avoid repeated freezing and thawing.

Cross
Bulk Quote Request Form
Name*:
Organization*:
Email*:
Phone Number*:
Catalog No.*:
Comments and Specifics(amount, formulation, etc.)*:
Validation code: Captchapackage Image


Can't read the image? click here to refresh.
    *required field

Your bulk quote request has been submitted successfully!

Please contact us if you have any questions.