• Tel: 858.663.9055
  • SeparatorEmail: info@nsjbio.com
  • Tel: 858.663.9055
  • Email: info@nsjbio.com
Home >> Antibodies >> Puma Antibody

Puma Antibody (F42785)

  Catalog No Formulation Size Price (USD)  
Image F42785-0.4ML In 1X PBS, pH 7.4, with 0.09% sodium azide 0.4 ml 429
Image
F42785-0.08ML In 1X PBS, pH 7.4, with 0.09% sodium azide 0.08 ml 199
Bulk quote request
Confocal immunofluorescent analysis of Puma antibody with HeLa cells followed by Alexa Fluor 488-conjugated goat anti-rabbit lgG (green). DAPI was used as a nuclear counterstain (blue).
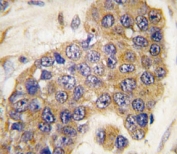
IHC analysis of FFPE human breast carcinoma tissue stained with Puma antibody
Puma antibody flow cytometric analysis of HeLa cells (right histogram) compared to a negative control (left histogram). FITC-conjugated goat-anti-rabbit secondary Ab was used for the analysis.
Western blot analysis of Puma antibody and HL-60 cell lysate. Predicted molecular weight: 21kDa.
Availability 1-3 business days
Species Reactivity Human
Predicted Reactivity Mouse, Rat
Format Purified
Clonality Polyclonal (rabbit origin)
Isotype Rabbit Ig
Purity Purified
UniProt Q9BXH1
Applications Western Blot : 1:1000
IHC (Paraffin) : 1:10-1:50
Immunofluorescence : 1:10-1:50
Flow Cytometry : 1:10-1:50
Limitations This Puma antibody is available for research use only.
Review this product on BioCompare and get a $20 Amazon gift card

Related Products

  • Applications : WB
    Reactivity : Human, Mouse, Rat
  • Applications : WB, IHC, ELISA
    Reactivity : Human
  • Applications : WB, ELISA (peptide)
    Reactivity : Human
  • Applications : WB
    Reactivity : Human

Description

PUMA is one of the pro-apoptotic Bcl-2 family members including Bax and Noxa, which are also transcriptional targets of p53. The PUMA gene encodes two BH3 domain-containing proteins termed PUMA-a and PUMA-b. PUMA proteins bind Bcl-2, localize to the mitochondria, and induce cytochrome c release and apoptosis in response to p53. PUMA may be a direct mediator of p53-induced apoptosis.

Application Notes

Titration of the Puma antibody may be required due to differences in protocols and secondary/substrate sensitivity.

Immunogen

A portion of amino acids 119-154 (BH3 domain) from the alpha isoform was used as the immunogen for this Puma antibody.

Storage

Aliquot the Puma antibody and store frozen at -20oC or colder. Avoid repeated freeze-thaw cycles.

Cross
Bulk Quote Request Form
Name*:
Organization*:
Email*:
Phone Number*:
Catalog No.*:
Comments and Specifics(amount, formulation, etc.)*:
Validation code: Captchapackage Image


Can't read the image? click here to refresh.
    *required field

Your bulk quote request has been submitted successfully!

Please contact us if you have any questions.