• Tel: 858.663.9055
  • SeparatorEmail: info@nsjbio.com
  • Tel: 858.663.9055
  • Email: info@nsjbio.com
Home >> Antibodies >> PU.1 Antibody / SPI1

PU.1 Antibody / SPI1 [clone TFPU1-1] (V3882)

  Catalog No Formulation Size Price (USD)  
Image V3882-100UG 0.2 mg/ml in 1X PBS with 0.1 mg/ml BSA (US sourced) and 0.05% sodium azide 100 ug 539
Image
V3882-20UG 0.2 mg/ml in 1X PBS with 0.1 mg/ml BSA (US sourced) and 0.05% sodium azide 20 ug 249
Image
V38825SAF-100UG 1 mg/ml in 1X PBS; BSA free, sodium azide free 100 ug 539
Bulk quote request
Western blot testing of human THP-1 cell lysate with PU.1 antibody (clone TFPU1-1). Predicted molecular weight ~31 kDa but routinely observed at ~40 kDa.
IHC staining of FFPE human lymph node with PU.1 antibody (clone TFPU1-1). HIER: boil tissue sections in pH 9 10mM Tris with 1mM EDTA for 10-20 min followed by cooling at RT for 20 min.
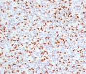
IHC staining of FFPE human Hodgkin's lymphoma with PU.1 antibody (clone TFPU1-1). HIER: boil tissue sections in pH 9 10mM Tris with 1mM EDTA for 10-20 min followed by cooling at RT for 20 min.
Immunofluorescent staining of PFA-fixed human Ramos cells with PU.1 antibody (green, clone TFPU1-1) and Phalloidin (red).
Availability 1-3 business days
Species Reactivity Human
Format Purified
Clonality Monoclonal (mouse origin)
Isotype Mouse IgG2b, kappa
Clone Name TFPU1-1
Purity Protein G affinity chromatography
UniProt P17947
Localization Nuclear
Applications Immunohistochemistry (FFPE) : 1-2ug/ml for 30 min at RT
Immunofluorescence : 1-2ug/ml
Western Blot : 1-2ug/ml
Limitations This PU.1 antibody is available for research use only.
Review this product on BioCompare and get a $20 Amazon gift card

Related Products

Description

Binds to the PU-box, a purine-rich DNA sequence (5'-GAGGAA-3') that can act as a lymphoid-specific enhancer. This protein is a transcriptional activator that may be specifically involved in the differentiation or activation of macrophages or B-cells. Also binds RNA and may modulate pre-mRNA splicing (By similarity). [UniProt]

Application Notes

The stated application concentrations are suggested starting points. Titration of the PU.1 antibody may be required due to differences in protocols and secondary/substrate sensitivity.

Immunogen

A portion of amino acids 16-170 from the human protein was used as the immunogen for the PU.1 antibody.

Storage

Store the PU.1 antibody at 2-8oC (with azide) or aliquot and store at -20oC or colder (without azide).

Cross
Bulk Quote Request Form
Name*:
Organization*:
Email*:
Phone Number*:
Catalog No.*:
Comments and Specifics(amount, formulation, etc.)*:
Validation code: Captchapackage Image


Can't read the image? click here to refresh.
    *required field

Your bulk quote request has been submitted successfully!

Please contact us if you have any questions.