• Tel: 858.663.9055
  • SeparatorEmail: info@nsjbio.com
  • Tel: 858.663.9055
  • Email: info@nsjbio.com
Home >> Antibodies >> PU.1 Antibody / SPI1

PU.1 Antibody / SPI1 [clone PU1/2146] (V3875)

  Catalog No Formulation Size Price (USD)  
Image V3875-100UG 0.2 mg/ml in 1X PBS with 0.1 mg/ml BSA (US sourced) and 0.05% sodium azide 100 ug 539
Image
V3875-20UG 0.2 mg/ml in 1X PBS with 0.1 mg/ml BSA (US sourced) and 0.05% sodium azide 20 ug 249
Image
V3875SAF-100UG 1 mg/ml in 1X PBS; BSA free, sodium azide free 100 ug 539
Microvalidated
Bulk quote request
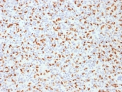
IHC staining of FFPE human spleen with PU.1 antibody (clone PU1/2146). HIER: boil tissue sections in pH 9 10mM Tris with 1mM EDTA for 10-20 min followed by cooling at RT for 20 min.
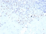
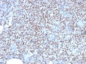
IHC staining of FFPE human lymph node with PU.1 antibody (clone PU1/2146). HIER: boil tissue sections in pH 9 10mM Tris with 1mM EDTA for 10-20 min followed by cooling at RT for 20 min.
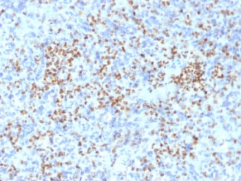
IHC staining of FFPE Hodgkin's lymphoma with PU.1 antibody (clone PU1/2146). HIER: boil tissue sections in pH 9 10mM Tris with 1mM EDTA for 10-20 min followed by cooling at RT for 20 min.
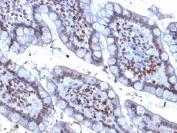
IHC staining of FFPE human colon carcinoma with PU.1 antibody (clone PU1/2146). HIER: boil tissue sections in pH 9 10mM Tris with 1mM EDTA for 10-20 min followed by cooling at RT for 20 min.
Western blot testing of human THP-1 cell lysate with PU.1 antibody (clone PU1/2146). Predicted molecular weight ~31 kDa but routinely observed at ~40 kDa.
Immunofluorescent staining of PFA-fixed human Ramos cells with PU.1 antibody (green, clone PU1/2146) and Phalloidin (red).
Flow cytometry testing of PFA-fixed human Ramos cells with PU.1 antibody (clone PU1/2146); Red=isotype control, Blue= PU.1 antibody.
Analysis of HuProt(TM) microarray containing more than 19,000 full-length human proteins using PU.1 antibody (clone PU1/2146). These results demonstrate the foremost specificity of the PU1/2146 mAb.
Z- and S- score: The Z-score represents the strength of a signal that an antibody (in combination with a fluorescently-tagged anti-IgG secondary Ab) produces when binding to a particular protein on the HuProt(TM) array. Z-scores are described in units of standard deviations (SD's) above the mean value of all signals generated on that array. If the targets on the HuProt(TM) are arranged in descending order of the Z-score, the S-score is the difference (also in units of SD's) between the Z-scores. The S-score therefore represents the relative target specificity of an Ab to its intended target.
SDS-PAGE analysis of purified, BSA-free PU.1 antibody (clone PU1/2146) as confirmation of integrity and purity.
Availability 1-3 business days
Species Reactivity Human
Format Purified
Clonality Monoclonal (mouse origin)
Isotype Mouse IgG2b, kappa
Clone Name PU1/2146
Purity Protein G affinity chromatography
UniProt P17947
Localization Nuclear
Applications Flow Cytometry : 1-2ug/10^6 cells
Immunofluorescence : 1-2ug/ml
Western Blot : 1-2ug/ml
Immunohistochemistry (FFPE) : 1-2ug/ml for 30 min at RT
Limitations This PU.1 antibody is available for research use only.
Review this product on BioCompare and get a $20 Amazon gift card

Related Products

Description

PU.1 is a member of the ETS family of transcription factors and is important for normal B-cell development. It is expressed in the myeloid lineage and in immature as well as mature B-lymphocytes, with the exception of plasma cells. PU.1 is expressed in germinal center B-cells and mantle B-cells. Various lymphomas are also positive for this marker. It is essential during early B-cell differentiation. The absence of PU.1 results in total block of B-cell development at the pre-pro stage. PU.1 plays a key role in normal myeloid differentiation, and regulates the expression of immunoglobulin and other genes that are important for B-cell development.

Application Notes

Optimal dilution of the PU.1 antibody should be determined by the researcher.

Immunogen

A portion of amino acids 16-170 from the human protein was used as the immunogen for the PU.1 antibody.

Storage

Store the PU.1 antibody at 2-8oC (with azide) or aliquot and store at -20oC or colder (without azide).

Cross
Bulk Quote Request Form
Name*:
Organization*:
Email*:
Phone Number*:
Catalog No.*:
Comments and Specifics(amount, formulation, etc.)*:
Validation code: Captchapackage Image


Can't read the image? click here to refresh.
    *required field

Your bulk quote request has been submitted successfully!

Please contact us if you have any questions.