• Tel: 858.663.9055
  • SeparatorEmail: info@nsjbio.com
  • Tel: 858.663.9055
  • Email: info@nsjbio.com
Home >> Antibodies >> PU.1 Antibody / SPI1

PU.1 Antibody / SPI1 [clone PU1/2118] (V8999)

  Catalog No Formulation Size Price (USD)  
Image V8999-100UG 0.2 mg/ml in 1X PBS with 0.1 mg/ml BSA (US sourced), 0.05% sodium azide 100 ug 539
Image
V8999-20UG 0.2 mg/ml in 1X PBS with 0.1 mg/ml BSA (US sourced), 0.05% sodium azide 20 ug 249
Image
V8999SAF-100UG 1 mg/ml in 1X PBS; BSA free, sodium azide free 100 ug 539
Bulk quote request
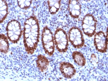
IHC staining of FFPE human colon carcinoma tissue with PU.1 antibody (clone PU1/2118). HIER: boil tissue sections in pH 9 10mM Tris with 1mM EDTA for 20 min and allow to cool before testing.
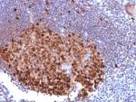
IHC staining of FFPE human Hodgkins Lymphoma tissue with PU.1 antibody (clone PU1/2118). HIER: boil tissue sections in pH 9 10mM Tris with 1mM EDTA for 20 min and allow to cool before testing.
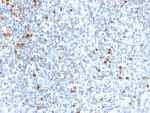
IHC staining of FFPE human Lymph Node tissue with PU.1 antibody (clone PU1/2118). HIER: boil tissue sections in pH 9 10mM Tris with 1mM EDTA for 20 min and allow to cool before testing.
IHC staining of FFPE human spleen tissue with PU.1 antibody (clone PU1/2118). HIER: boil tissue sections in pH 9 10mM Tris with 1mM EDTA for 20 min and allow to cool before testing.
SDS-PAGE analysis of purified, BSA-free PU.1 antibody (clone PU1/2118) as confirmation of integrity and purity.
Availability 1-3 business days
Species Reactivity Human
Format Purified
Clonality Monoclonal (mouse origin)
Isotype Mouse IgG1
Clone Name PU1/2118
Purity Protein A/G affinity
UniProt P17947
Localization Nuclear
Applications Immunohistochemistry (FFPE) : 1-2ug/ml
Limitations This PU.1 antibody is available for research use only.
Review this product on BioCompare and get a $20 Amazon gift card

Related Products

Description

PU.1 is a member of the ETS family of transcription factors and is important for normal B-cell development. It is expressed in the myeloid lineage and in immature as well as mature B-lymphocytes, with the exception of plasma cells. PU.1 is expressed in germinal center B-cells and mantle B-cells. Various lymphomas are also positive for this marker. It is essential during early B-cell differentiation. The absence of PU.1 results in total block of B-cell development at the pre-pro stage. PU.1 plays a key role in normal myeloid differentiation, and regulates the expression of immunoglobulin and other genes that are important for B-cell development.

Application Notes

Optimal dilution of the PU.1 antibody should be determined by the researcher.

Immunogen

A portion of amino acids 16-170 was used as the immunogen for the PU.1 antibody.

Storage

Aliquot the PU.1 antibody and store frozen at -20oC or colder. Avoid repeated freeze-thaw cycles.

Cross
Bulk Quote Request Form
Name*:
Organization*:
Email*:
Phone Number*:
Catalog No.*:
Comments and Specifics(amount, formulation, etc.)*:
Validation code: Captchapackage Image


Can't read the image? click here to refresh.
    *required field

Your bulk quote request has been submitted successfully!

Please contact us if you have any questions.