• Tel: 858.663.9055
  • SeparatorEmail: info@nsjbio.com
  • Tel: 858.663.9055
  • Email: info@nsjbio.com
Home >> Antibodies >> PTPN6 Antibody / SHP-1 / PTP1C

PTPN6 Antibody / SHP-1 / PTP1C [clone PTPN6/7543] (V4251)

  Catalog No Formulation Size Price (USD)  
Image V4251-100UG 0.2 mg/ml in 1X PBS with 0.1 mg/ml BSA (US sourced), 0.05% sodium azide 100 ug 539
Image
V4251-20UG 0.2 mg/ml in 1X PBS with 0.1 mg/ml BSA (US sourced), 0.05% sodium azide 20 ug 249
Image
V4251SAF-100UG 1 mg/ml in 1X PBS; BSA free, sodium azide free 100 ug 539
Bulk quote request
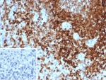
IHC staining of FFPE human spleen tissue with PTPN6 antibody (clone PTPN6/7543). HIER: boil tissue sections in pH 9 10mM Tris with 1mM EDTA for 20 min and allow to cool before testing.
IHC staining of FFPE human spleen tissue with PTPN6 antibody (clone PTPN6/7543). Inset: PBS used in place of primary Ab (secondary Ab negative control). HIER: boil tissue sections in pH 9 10mM Tris with 1mM EDTA for 20 min and allow to cool before testing.
Availability 1-3 business days
Species Reactivity Human
Format Purified
Clonality Monoclonal (mouse origin)
Isotype Mouse IgG1, kappa
Clone Name PTPN6/7543
Purity Protein A/G affinity
UniProt P29350
Localization Cytoplasm, Nucleus
Applications Immunohistochemistry (FFPE) : 1-2ug/ml for 30 minutes at RT
Limitations This PTPN6 antibody is available for research use only.
Review this product on BioCompare and get a $20 Amazon gift card

Related Products

Description

PTPN6, which is also designated as SHP-1, is expressed primarily in hematopoietic cells and characterized by the presence of two SH2 domains N-terminal to the PTP domain. It maps to 12p13, a region commonly involved in leukemia-associated chromosomal abnormalities. SHP-1 plays a role in modulating intracellular signaling for various molecules. In T-cell lymphomas and other malignancies, SHP-1 phosphatase expression is lost, by a thus far undetermined mechanism. Preliminary studies suggest that it may be helpful in differentiating mantle/marginal zone lymphomas (SHP-1+) from follicular lymphomas (SHP-1 negative).

Application Notes

Optimal dilution of the SHP-1 antibody should be determined by the researcher.

Immunogen

A recombinant partial protein sequence (within amino acids 395-595) from the human protein was used as the immunogen for the PTPN6 antibody.

Storage

Aliquot the SHP-1 antibody and store frozen at -20oC or colder. Avoid repeated freeze-thaw cycles.

Cross
Bulk Quote Request Form
Name*:
Organization*:
Email*:
Phone Number*:
Catalog No.*:
Comments and Specifics(amount, formulation, etc.)*:
Validation code: Captchapackage Image


Can't read the image? click here to refresh.
    *required field

Your bulk quote request has been submitted successfully!

Please contact us if you have any questions.