• Tel: 858.663.9055
  • SeparatorEmail: info@nsjbio.com
  • Tel: 858.663.9055
  • Email: info@nsjbio.com
Home >> Antibodies >> PTPN22 Antibody

PTPN22 Antibody (RQ6794)

  Catalog No Formulation Size Price (USD)  
Image RQ6794 0.5mg/ml if reconstituted with 0.2ml sterile DI water 100 ug 439
Bulk quote request
Immunofluorescent staining of FFPE human U-2 OS cells with PTPN22 antibody.
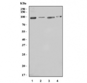
Western blot testing of 1) human Raji, 2) human HeLa, 3) human Jurkat and 4) rat PC-12 cell lysate with PTPN22 antibody. Expected molecular weight ~92 kDa, but can be observed at up to ~105 kDa.
Availability 1-3 business days
Species Reactivity Human, Rat
Format Antigen affinity purified
Clonality Polyclonal (rabbit origin)
Isotype Rabbit IgG
Purity Antigen affinity purified
Buffer Lyophilized from 1X PBS with 2% Trehalose
UniProt Q9Y2R2
Localization Cytoplasmic, nuclear, cell membrane
Applications Western Blot : 1-2ug/ml
Immunofluorescence (FFPE) : 5ug/ml
Direct ELISA : 0.1-0.5ug/ml
Limitations This PTPN22 antibody is available for research use only.
Review this product on BioCompare and get a $20 Amazon gift card

Related Products

Description

Protein tyrosine phosphatase, non-receptor type 22 (lymphoid), also known as PTPN22, is a protein that in humans is encoded by the PTPN22 gene. It is mapped to 1p13.2. This gene encodes of member of the non-receptor class 4 subfamily of the protein-tyrosine phosphatase family. The encoded protein is a lymphoid-specific intracellular phosphatase that associates with the molecular adapter protein CBL and may be involved in regulating CBL function in the T-cell receptor signaling pathway. Mutations in this gene may be associated with a range of autoimmune disorders including Type 1 Diabetes, rheumatoid arthritis, systemic lupus erythematosus and Graves' disease. Alternatively spliced transcript variants encoding distinct isoforms have been described.

Application Notes

Optimal dilution of the PTPN22 antibody should be determined by the researcher.

Immunogen

Recombinant human protein (amino acids M1-K42) was used as the immunogen for the PTPN22 antibody.

Storage

After reconstitution, the PTPN22 antibody can be stored for up to one month at 4oC. For long-term, aliquot and store at -20oC. Avoid repeated freezing and thawing.

Cross
Bulk Quote Request Form
Name*:
Organization*:
Email*:
Phone Number*:
Catalog No.*:
Comments and Specifics(amount, formulation, etc.)*:
Validation code: Captchapackage Image


Can't read the image? click here to refresh.
    *required field

Your bulk quote request has been submitted successfully!

Please contact us if you have any questions.