• Tel: 858.663.9055
  • SeparatorEmail: info@nsjbio.com
  • Tel: 858.663.9055
  • Email: info@nsjbio.com
Home >> Antibodies >> Ptpn22 Antibody

Ptpn22 Antibody (RQ4039)

  Catalog No Formulation Size Price (USD)  
Image RQ4039 0.5mg/ml if reconstituted with 0.2ml sterile DI water 100 ug 439
Bulk quote request
IHC testing of FFPE mouse spleen tissue with Ptpn22 antibody at 1ug/ml. Required HIER: steam section in pH6 citrate buffer for 20 min and allow to cool prior to testing.
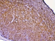
IHC testing of FFPE rat lymph tissue with Ptpn22 antibody at 1ug/ml. Required HIER: steam section in pH6 citrate buffer for 20 min and allow to cool prior to testing.
Western blot testing of rat thymus lysate with Ptpn22 antibody at 0.5ug/ml. Expected molecular weight ~92 kDa, but can be observed at up to ~105 kDa.
Western blot testing of human 1) SW579, 2) HepG2, 3) placenta, 4) HeLa and 5) SW620 lysate with Ptpn22 antibody at 0.5ug/ml. Expected molecular weight ~92 kDa, but can be observed at up to ~105 kDa.
Availability 1-3 business days
Species Reactivity Human, Mouse, Rat
Format Antigen affinity purified
Clonality Polyclonal (rabbit origin)
Isotype Rabbit IgG
Purity Antigen affinity purified
Buffer Lyophilized from 1X PBS with 2% Trehalose and 0.025% sodium azide
UniProt P29352
Localization Cytoplasmic, nuclear, cell membrane
Applications Western Blot : 0.5-1ug/ml
IHC (FFPE) : 1-2ug/ml
Direct ELISA : 0.1-0.5ug/ml
Limitations This Ptpn22 antibody is available for research use only.
Review this product on BioCompare and get a $20 Amazon gift card

Related Products

Description

Protein tyrosine phosphatase, non-receptor type 22 (lymphoid), also known as PTPN22, is a protein that in humans is encoded by the PTPN22 gene. This gene encodes of member of the non-receptor class 4 subfamily of the protein-tyrosine phosphatase family. The encoded protein is a lymphoid-specific intracellular phosphatase that associates with the molecular adapter protein CBL and may be involved in regulating CBL function in the T-cell receptor signaling pathway. Mutations in this gene may be associated with a range of autoimmune disorders including Type 1 Diabetes, rheumatoid arthritis, systemic lupus erythematosus and Graves' disease. Alternatively spliced transcript variants encoding distinct isoforms have been described.

Application Notes

Optimal dilution of the Ptpn22 antibody should be determined by the researcher.

Immunogen

A recombinant mouse partial protein corresponding to amino acids M1-Q309 was used as the immunogen for the Ptpn22 antibody.

Storage

After reconstitution, the Ptpn22 antibody can be stored for up to one month at 4oC. For long-term, aliquot and store at -20oC. Avoid repeated freezing and thawing.

Cross
Bulk Quote Request Form
Name*:
Organization*:
Email*:
Phone Number*:
Catalog No.*:
Comments and Specifics(amount, formulation, etc.)*:
Validation code: Captchapackage Image


Can't read the image? click here to refresh.
    *required field

Your bulk quote request has been submitted successfully!

Please contact us if you have any questions.