• Tel: 858.663.9055
  • SeparatorEmail: info@nsjbio.com
  • Tel: 858.663.9055
  • Email: info@nsjbio.com
Home >> Antibodies >> PTH1R Antibody

PTH1R Antibody (R31247)

  Catalog No Formulation Size Price (USD)  
Image R31247 0.5mg/ml if reconstituted with 0.2ml sterile DI water 100 ug 439
Bulk quote request
Western blot testing of human 1) SK-OV-3, 2) U-2 0S, 3) HeLa and 4) SMMC-7721 cell lysate. Expected molecular weight ~66 kDa (unmodified), 85-95 kDa (glycosylated).
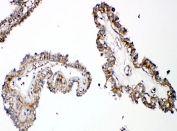
IHC-P: PTH1R antibody testing of human thyroid cancer tissue
Western blot testing of human 1) 293T, 2) MCF7 and 3) MDA-MB-231 cell lysate with PTH1R antibody at 0.5ug/ml. Expected molecular weight ~66 kDa (unmodified), 85-95 kDa (glycosylated).
Availability 1-3 business days
Species Reactivity Human, Mouse, Rat
Format Antigen affinity purified
Clonality Polyclonal (rabbit origin)
Isotype Rabbit IgG
Purity Antigen affinity
Buffer Lyophilized from 1X PBS with 2.5% BSA and 0.025% sodium azide/thimerosal
UniProt Q03431
Applications Western Blot : 0.5-1ug/ml
Immunohistochemistry (FFPE) : 0.5-1ug/ml
Immunocytochemistry : 0.5-1ug/ml
Limitations This PTH1R antibody is available for research use only.
Review this product on BioCompare and get a $20 Amazon gift card

Related Products

Description

Parathyroid hormone/parathyroid hormone-related peptide receptor, also known as PTHR, is a protein that in humans is encoded by the PTH1R gene. PTHR is a member of a family of G protein-coupled receptors. PTHR gene was mapped to the vicinity of the 3p21.3-p21.2 boundary by PCR analysis of human/rodent somatic cell hybrid panels using oligonucleotide primers designed to amplify a portion of the gene from genomic DNA. This is a receptor for parathyroid hormone and for parathyroid hormone-related peptide. The activity of this receptor is mediated by G proteins which activate adenylyl cyclase and also a phosphatidylinositol-calcium second messenger system. PTH1R functions as a receptor for parathyroid hormone and for parathyroid hormone-related protein.

Application Notes

The stated application concentrations are suggested starting amounts. Titration of the PTH1R antibody may be required due to differences in protocols and secondary/substrate sensitivity.

Immunogen

An amino acid sequence from the C-terminus of human Parathyroid Hormone Receptor 1 (KLRETNAGRCDTRQQYRKL) was used as the immunogen for this PTH1R antibody (100% homologous in human, mouse and rat).

Storage

After reconstitution, the PTH1R antibody can be stored for up to one month at 4oC. For long-term, aliquot and store at -20oC. Avoid repeated freezing and thawing.

Cross
Bulk Quote Request Form
Name*:
Organization*:
Email*:
Phone Number*:
Catalog No.*:
Comments and Specifics(amount, formulation, etc.)*:
Validation code: Captchapackage Image


Can't read the image? click here to refresh.
    *required field

Your bulk quote request has been submitted successfully!

Please contact us if you have any questions.