• Tel: 858.663.9055
  • SeparatorEmail: info@nsjbio.com
  • Tel: 858.663.9055
  • Email: info@nsjbio.com
Home >> Antibodies >> PTF1A Antibody

PTF1A Antibody (RQ6003)

  Catalog No Formulation Size Price (USD)  
Image RQ6003 0.5mg/ml if reconstituted with 0.2ml sterile DI water 100 ug 439
Bulk quote request
Immunofluorescent staining of FFPE human A431 cells with PTF1A antibody (green) and DAPI nuclear stain (blue). HIER: steam section in pH6 citrate buffer for 20 min.
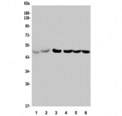
Western blot testing of 1) rat pancreas, 2) mouse pancreas, 3) human PANC-1, 4) human PANC-1, 5) human U-2 OS and 6) mouse SP2/0 lysate with PTF1A antibody. Predicted molecular weight: ~35 kDa, routinely observed at ~48 kDa. (Ref 1)
Flow cytometry testing of human A431 cells with PTF1A antibody at 1ug/million cells (blocked with goat sera); Red=cells alone, Green=isotype control, Blue= PTF1A antibody.
Availability 1-3 business days
Species Reactivity Human, Mouse, Rat
Format Antigen affinity purified
Clonality Polyclonal (rabbit origin)
Isotype Rabbit IgG
Purity Affinity purified
Buffer Lyophilized from 1X PBS with 2% Trehalose and 0.025% sodium azide
UniProt Q7RTS3
Localization Nuclear, cytoplasmic
Applications Western Blot : 0.5-1ug/ml
Immunofluorescence : 2-4ug/ml
Flow Cytometry : 1-3ug/million cells
Direct ELISA : 0.1-0.5ug/ml
Limitations This PTF1A antibody is available for research use only.
Review this product on BioCompare and get a $20 Amazon gift card

Related Products

  • Applications : WB, ELISA (peptide)
    Reactivity : Human
    Pred. Reactivity : Dog, Mouse, Rat, Zebrafish

Description

Pancreas transcription factor 1 subunit alpha is a protein that in humans is encoded by the PTF1A gene. It is mapped to 10p12.2. This gene encodes a protein that is a component of the pancreas transcription factor 1 complex (PTF1) and is known to have a role in mammalian pancreatic development. The protein plays a role in determining whether cells allocated to the pancreatic buds continue towards pancreatic organogenesis or revert back to duodenal fates. The protein is thought to be involved in the maintenance of exocrine pancreas-specific gene expression including elastase 1 and amylase. Mutations in this gene cause cerebellar agenesis and loss of expression is seen in ductal type pancreas cancers.

Application Notes

Optimal dilution of the PTF1A antibody should be determined by the researcher.

Immunogen

Recombinant human protein (amino acids M1-Q292) was used as the immunogen for the PTF1A antibody.

Storage

After reconstitution, the PTF1A antibody can be stored for up to one month at 4oC. For long-term, aliquot and store at -20oC. Avoid repeated freezing and thawing.

Cross
Bulk Quote Request Form
Name*:
Organization*:
Email*:
Phone Number*:
Catalog No.*:
Comments and Specifics(amount, formulation, etc.)*:
Validation code: Captchapackage Image


Can't read the image? click here to refresh.
    *required field

Your bulk quote request has been submitted successfully!

Please contact us if you have any questions.