• Tel: 858.663.9055
  • SeparatorEmail: info@nsjbio.com
  • Tel: 858.663.9055
  • Email: info@nsjbio.com
Home >> Antibodies >> PTCH1 Antibody

PTCH1 Antibody (R33870)

  Catalog No Formulation Size Price (USD)  
Image R33870-100UG 0.5 mg/ml in 1X TBS, pH7.3, with 0.5% BSA (US sourced) and 0.02% sodium azide 100 ug 449
Bulk quote request
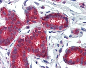
IHC testing of FFPE human breast tissue with PTCH1 antibody at 3.75ug/ml. HIER: steamed with pH6 citrate buffer, AP-staining.
IF/ICC testing of human HeLa cells with PTCH1 antibody at 5ug/ml + DAPI nuclear stain (blue).
IHC testing of FFPE human colon tissue with PTCH1 antibody at 3.8ug/ml. HIER: steamed with pH6 citrate buffer, AP-staining.
Availability 1-3 business days
Species Reactivity Human
Predicted Reactivity Mouse, Rat
Format Antigen affinity purified
Clonality Polyclonal (goat origin)
Isotype Goat Ig
Purity Antigen affinity
Gene ID 5727
Localization Cytoplasmic, membrane
Applications Immunohistochemistry (FFPE) : 3-6ug/ml
IF/ICC : 5ug/ml
ELISA (peptide) LOD : 1:8000
Limitations This PTCH1 antibody is available for research use only.
Review this product on BioCompare and get a $20 Amazon gift card

Related Products

  • Applications : WB, IF/ICC, ELISA (peptide)
    Reactivity : Human, Mouse
    Pred. Reactivity : Rat, Dog, Cow
  • Applications : WB, ELISA (peptide)
    Reactivity : Human
    Pred. Reactivity : Dog, Pig, Cow
  • Applications : IF, ELISA (peptide)
    Reactivity : Zebrafish

Description

Additional name(s) for this target protein: Patched 1

Application Notes

Optimal dilution of the PTCH1 antibody should be determined by the researcher.

Immunogen

Amino acids ELQDVECEERPR were used as the immunogen for this PTCH1 antibody.

Storage

Aliquot and store the PTCH1 antibody at -20oC.

Cross
Bulk Quote Request Form
Name*:
Organization*:
Email*:
Phone Number*:
Catalog No.*:
Comments and Specifics(amount, formulation, etc.)*:
Validation code: Captchapackage Image


Can't read the image? click here to refresh.
    *required field

Your bulk quote request has been submitted successfully!

Please contact us if you have any questions.