• Tel: 858.663.9055
  • SeparatorEmail: info@nsjbio.com
  • Tel: 858.663.9055
  • Email: info@nsjbio.com
Home >> Antibodies >> PTBP2 Antibody

PTBP2 Antibody (RQ5547)

  Catalog No Formulation Size Price (USD)  
Image RQ5547 0.5mg/ml if reconstituted with 0.2ml sterile DI water 100 ug 439
Bulk quote request
Western blot testing of human 1) MDA-MB-453, 2) U-2 OS, 3) ThP-1, 4) K562, 5) U937, 6) HEK293 and 7) HeLa cell lysate with PTBP2 antibody. Predicted molecular weight ~57 kDa.
Western blot testing of human 1) rat testis, 2) mouse testis, 3) mouse thymus and 4) mouse HEPA1-6 lysate with PTBP2 antibody. Predicted molecular weight ~57 kDa.
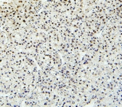
IHC staining of FFPE human liver cancer with PTBP2 antibody. HIER: boil tissue sections in pH6, 10mM citrate buffer, for 20 min and allow to cool before testing.
Immunofluorescent staining of FFPE human U-2 OS cells with PTBP2 antibody. HIER: boil tissue sections in pH6, 10mM citrate buffer, for 20 min and allow to cool before testing.
Flow cytometry testing of human HeLa cells with PTBP2 antibody at 1ug/million cells (blocked with goat sera); Red=cells alone, Green=isotype control, Blue= PTBP2 antibody.
Flow cytometry testing of human ThP-1 cells with PTBP2 antibody at 1ug/million cells (blocked with goat sera); Red=cells alone, Green=isotype control, Blue= PTBP2 antibody.
IHC staining of FFPE mouse liver with PTBP2 antibody. HIER: boil tissue sections in pH6, 10mM citrate buffer, for 20 min and allow to cool before testing.
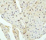
IHC staining of FFPE mouse heart with PTBP2 antibody. HIER: boil tissue sections in pH6, 10mM citrate buffer, for 20 min and allow to cool before testing.
IHC staining of FFPE rat liver with PTBP2 antibody. HIER: boil tissue sections in pH6, 10mM citrate buffer, for 20 min and allow to cool before testing.
Availability 1-3 business days
Species Reactivity Human, Mouse, Rat
Format Antigen affinity purified
Clonality Polyclonal (rabbit origin)
Isotype Rabbit IgG
Purity Affinity purified
Buffer Lyophilized from 1X PBS with 2% Trehalose and 0.025% sodium azide
UniProt Q9UKA9
Localization Nuclear
Applications Western Blot : 0.25-0.5ug/ml
Immunohistochemistry (FFPE) : 1-2ug/ml
Immunofluorescence : 2-4ug/ml
Flow Cytometry : 1-3ug/million cells
Direct ELISA : 0.1-0.5ug/ml
Limitations This PTBP2 antibody is available for research use only.
Review this product on BioCompare and get a $20 Amazon gift card

Related Products

Description

Polypyrimidine tract binding protein 2, also known as PTBP2, is a protein which in humans is encoded by the PTBP2 gene. It is mapped to 1p21.3. The protein encoded by this gene binds to intronic polypyrimidine clusters in pre-mRNA molecules and is implicated in controlling the assembly of other splicing-regulatory proteins. This protein is very similar to the polypyrimidine tract binding protein (PTB) but most of its isoforms are expressed primarily in the brain. Alternative splicing results in multiple transcript variants.

Application Notes

Optimal dilution of the PTBP2 antibody should be determined by the researcher.

Immunogen

A human recombinant protein (amino acids M1-A504) was used as the immunogen for the PTBP2 antibody.

Storage

After reconstitution, the PTBP2 antibody can be stored for up to one month at 4oC. For long-term, aliquot and store at -20oC. Avoid repeated freezing and thawing.

Cross
Bulk Quote Request Form
Name*:
Organization*:
Email*:
Phone Number*:
Catalog No.*:
Comments and Specifics(amount, formulation, etc.)*:
Validation code: Captchapackage Image


Can't read the image? click here to refresh.
    *required field

Your bulk quote request has been submitted successfully!

Please contact us if you have any questions.