• Tel: 858.663.9055
  • SeparatorEmail: info@nsjbio.com
  • Tel: 858.663.9055
  • Email: info@nsjbio.com
Home >> Antibodies >> PTBP2 Antibody

PTBP2 Antibody [clone 8F11] (RQ6291)

  Catalog No Formulation Size Price (USD)  
Image RQ6291 0.5mg/ml if reconstituted with 0.2ml sterile DI water 100 ug 439
Bulk quote request
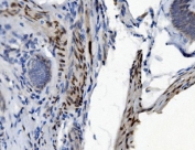
IHC staining of FFPE human gallbladder adenocarcinoma tissue with PTBP2 antibody. HIER: boil tissue sections in pH8 EDTA for 20 min and allow to cool before testing.
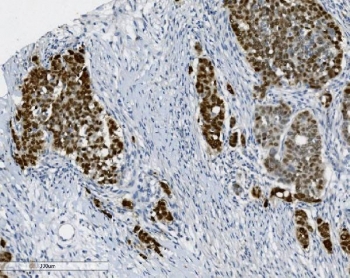
IHC staining of FFPE human rectal cancer with PTBP2 antibody. HIER: boil tissue sections in pH8 EDTA for 20 min and allow to cool before testing.
Immunofluorescent staining of FFPE human U-2 OS cells with PTBP2 antibody (green) and DAPI nuclear stain (blue). HIER: steam section in pH6 citrate buffer for 20 min.
Western blot testing of 1) human MDA-MB-453, 2) ThP-1, 3) rat testis and 4) mouse testis lysate with PTBP2 antibody. Predicted molecular weight ~57 kDa.
Availability 1-3 business days
Species Reactivity Human, Mouse, Rat
Format Antigen affinity purified
Clonality Monoclonal (mouse origin)
Isotype Mouse IgG1
Clone Name 8F11
Purity Affinity purified
Buffer Lyophilized from 1X PBS with 2% Trehalose
UniProt Q9UKA9
Localization Nuclear
Applications Western Blot : 1-2ug/ml
Immunohistochemistry (FFPE) : 2-5ug/ml
Immunofluorescence : 5ug/ml
Limitations This PTBP2 antibody is available for research use only.
Review this product on BioCompare and get a $20 Amazon gift card

Related Products

Description

Polypyrimidine tract binding protein 2, also known as PTBP2, is a protein which in humans is encoded by the PTBP2 gene. It is mapped to 1p21.3. The protein encoded by this gene binds to intronic polypyrimidine clusters in pre-mRNA molecules and is implicated in controlling the assembly of other splicing-regulatory proteins. This protein is very similar to the polypyrimidine tract binding protein (PTB) but most of its isoforms are expressed primarily in the brain. Alternative splicing results in multiple transcript variants.

Application Notes

Optimal dilution of the PTBP2 antibody should be determined by the researcher.

Immunogen

A human recombinant partial protein (amino acids M1-A504) was used as the immunogen for the PTBP2 antibody.

Storage

After reconstitution, the PTBP2 antibody can be stored for up to one month at 4oC. For long-term, aliquot and store at -20oC. Avoid repeated freezing and thawing.

Cross
Bulk Quote Request Form
Name*:
Organization*:
Email*:
Phone Number*:
Catalog No.*:
Comments and Specifics(amount, formulation, etc.)*:
Validation code: Captchapackage Image


Can't read the image? click here to refresh.
    *required field

Your bulk quote request has been submitted successfully!

Please contact us if you have any questions.