• Tel: 858.663.9055
  • SeparatorEmail: info@nsjbio.com
  • Tel: 858.663.9055
  • Email: info@nsjbio.com
Home >> Antibodies >> PSMA5 Antibody / Proteasome subunit alpha type 5

PSMA5 Antibody / Proteasome subunit alpha type 5 (RQ8940)

  Catalog No Formulation Size Price (USD)  
Image RQ8940 0.5mg/ml if reconstituted with 0.2ml sterile DI water 100 ug 439
Bulk quote request
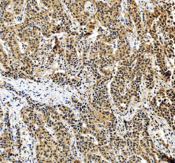
IHC staining of FFPE human liver cancer tissue with PSMA5 antibody, HRP-secondary and DAB substrate. HIER: boil tissue sections in pH8 EDTA for 20 min and allow to cool before testing.
Immunofluorescent staining of FFPE human U-2 OS cells with PSMA5 antibody (green) and DAPI nuclear stain (blue). HIER: steam section in pH6 citrate buffer for 20 min.
Western blot testing of 1) human HeLa, 2) human HepG2, 3) human 293T, 4) monkey COS-7, 5) rat brain, 6) rat PC-12, 7) mouse brain and 8) mouse Neuro-2a cell lysate with PSMA5 antibody. Predicted molecular weight ~26 kDa.
Flow cytometry testing of fixed and permeabilized human HeLa cells with PSMA5 antibody at 1ug/million cells (blocked with goat sera); Red=cells alone, Green=isotype control, Blue= PSMA5 antibody.
Availability 1-2 days
Species Reactivity Human, Mouse, Rat, Monkey
Format Purified
Clonality Polyclonal (rabbit origin)
Isotype Rabbit IgG
Purity Antigen Affinity purified
UniProt P28066
Localization Cytoplasmic, Nuclear
Applications Western Blot : 1-2ug/ml
Immunohistochemistry (FFPE) : 2-5ug/ml
ELISA : 0.1-0.5ug/ml
Flow Cytometry : 1-3ug/million cells
Immunofluorescence : 5ug/ml
Limitations This PSMA5 antibody is available for research use only.
Review this product on BioCompare and get a $20 Amazon gift card

Related Products

Description

PSMA5 antibody is a valuable reagent for studying protein degradation and cellular homeostasis. The encoded protein, proteasome subunit alpha type 5, is a core component of the 20S proteasome, a large multi-catalytic complex responsible for degrading ubiquitinated proteins. The proteasome plays a central role in maintaining protein quality control, regulating cell cycle progression, and modulating signaling pathways. PSMA5 belongs to the alpha subunit family, which forms part of the structural gate controlling substrate entry into the catalytic chamber of the proteasome.

PSMA5 contributes to the assembly and stability of the proteasome complex. The alpha subunits, including PSMA5, form a heptameric ring that shapes one end of the barrel-like core. This arrangement functions as a regulated gate, opening to allow access of protein substrates targeted for degradation. By influencing the selectivity and efficiency of protein turnover, PSMA5 is critical for cellular responses to stress, metabolic regulation, and removal of damaged or misfolded proteins.

Research into PSMA5 has highlighted its importance in diverse biological processes. Proteasome activity, dependent on components such as PSMA5, is required for antigen processing, generating peptides that are presented by MHC class I molecules to cytotoxic T lymphocytes. This immune surveillance mechanism is essential for identifying and destroying infected or transformed cells. In addition, proteasome function regulates transcription factors, signaling proteins, and cell cycle regulators, placing PSMA5 at the heart of pathways that determine proliferation, differentiation, and apoptosis.

Alterations in proteasome activity have been associated with cancer, neurodegenerative disorders, and inflammatory disease. Dysregulation of PSMA5 expression or proteasome activity can disrupt protein turnover, contributing to abnormal signaling and accumulation of toxic protein aggregates. Pharmacologic inhibitors of the proteasome, such as bortezomib, underscore the therapeutic relevance of targeting this pathway, with PSMA5 as a structural and functional element within the proteasome complex.

The PSMA5 antibody is widely used in western blotting, immunohistochemistry, immunofluorescence, and flow cytometry to detect expression levels and subcellular localization of this proteasome subunit. Such applications are essential for assessing changes in protein degradation capacity across tissues, during disease progression, or under experimental manipulation. For scientists investigating protein quality control, immune responses, or therapeutic intervention strategies, the PSMA5 antibody provides a reliable and precise detection tool. NSJ Bioreagents offers validated antibodies that ensure consistent and reproducible results for advanced research.

Application Notes

Optimal dilution of the PSMA5 antibody should be determined by the researcher.

Immunogen

Amino acids M1-I241 from the human protein were used as the immunogen for the PSMA5 antibody.

Storage

After reconstitution, the PSMA5 antibody can be stored for up to one month at 4oC. For long-term, aliquot and store at -20oC. Avoid repeated freezing and thawing.

Cross
Bulk Quote Request Form
Name*:
Organization*:
Email*:
Phone Number*:
Catalog No.*:
Comments and Specifics(amount, formulation, etc.)*:
Validation code: Captchapackage Image


Can't read the image? click here to refresh.
    *required field

Your bulk quote request has been submitted successfully!

Please contact us if you have any questions.