• Tel: 858.663.9055
  • SeparatorEmail: info@nsjbio.com
  • Tel: 858.663.9055
  • Email: info@nsjbio.com
Home >> Antibodies >> PSMA Antibody / FOLH1

PSMA Antibody / FOLH1 (F43183)

  Catalog No Formulation Size Price (USD)  
Image F43183-0.4ML In 1X PBS, pH 7.4, with 0.09% sodium azide 0.4 ml 429
Image
F43183-0.08ML In 1X PBS, pH 7.4, with 0.09% sodium azide 0.08 ml 199
Bulk quote request
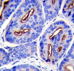
PSMA antibody immunohistochemistry analysis in formalin fixed and paraffin embedded human prostate carcinoma.
PSMA antibody western blot analysis in ZR-75-1 lysate. Observed molecular weight ~ 100 kDa.
Confocal immunofluorescent analysis of PSMA antibody with ZR-75-1 cells followed by Alexa Fluor 488-conjugated goat anti-rabbit lgG (green). DAPI was used as a nuclear counterstain (blue).
Availability 1-3 business days
Species Reactivity Human
Predicted Reactivity Mouse, Pig, Rat
Format Antigen affinity purified
Clonality Polyclonal (rabbit origin)
Isotype Rabbit Ig
Purity Antigen affinity
UniProt Q04609
Applications Western Blot : 1:1000
IHC (Paraffin) : 1:10-1:50
Immunofluorescence : 1:10-1:50
Limitations This PSMA antibody is available for research use only.
Review this product on BioCompare and get a $20 Amazon gift card

Related Products

Description

GCPII (Glutamate carboxypeptidase 2) also called FOLH1 and PSMA (Prostate-Specific Membrane Antigen) is a zinc metalloenzyme that resides in membranes. Most of the enzyme resides in the extracellular space. GCPII is a class II membrane glycoprotein. It catalyzes the hydrolysis of N-acetylaspartylglutamate (NAAG) to glutamate and N-acetylaspartate (NAA). Neuroscientists primarily use the term NAALADase in their studies, while those studying folate metabolism use folate hydrolase, and those studying prostate cancer or oncology, PSMA. All of which refer to the same protein, glutamate carboxypeptidase II. PSMA is strongly expressed in the human prostate, being a hundredfold greater than the expression in most other tissues. In cancer, it is upregulated in expression and has been called the second-most-upregulated gene in prostate cancer, with increase of 8- to 12-fold over the noncancerous prostate. In human prostate cancer, the higher expressing tumors are associated with quicker time to progression and a greater percentage of patients suffering relapse. [Wiki]

Application Notes

Titration of the PSMA antibody may be required due to differences in protocols and secondary/substrate sensitivity.

Immunogen

A portion of amino acids 161-190 from the human protein was used as the immunogen for this PSMA antibody.

Storage

Aliquot the PSMA antibody and store frozen at -20oC or colder. Avoid repeated freeze-thaw cycles.

Cross
Bulk Quote Request Form
Name*:
Organization*:
Email*:
Phone Number*:
Catalog No.*:
Comments and Specifics(amount, formulation, etc.)*:
Validation code: Captchapackage Image


Can't read the image? click here to refresh.
    *required field

Your bulk quote request has been submitted successfully!

Please contact us if you have any questions.