• Tel: 858.663.9055
  • SeparatorEmail: info@nsjbio.com
  • Tel: 858.663.9055
  • Email: info@nsjbio.com
Home >> Antibodies >> PSD5A Antibody / SCC112

PSD5A Antibody / SCC112 (RQ6505)

  Catalog No Formulation Size Price (USD)  
Image RQ6505 0.5mg/ml if reconstituted with 0.2ml sterile DI water 100 ug 439
Bulk quote request
Immunofluorescent staining of FFPE human U-2 OS cells with PSD5A antibody (green) and DAPI nuclear stain (blue). HIER: steam section in pH6 citrate buffer for 20 min.
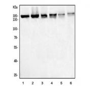
Western blot testing of 1) human HeLa, 2) human HEK293, 3) rat stomach, 4) rat pancreas, 5) mouse stomach and 6) mouse pancreas lysate with PSD5A antibody. Predicted molecular weight ~151 kDa.
Flow cytometry testing of human A431 cells with PSD5A antibody at 1ug/million cells (blocked with goat sera); Red=cells alone, Green=isotype control, Blue= PSD5A antibody.
Availability 1-3 business days
Species Reactivity Human, Mouse, Rat
Format Antigen affinity purified
Clonality Polyclonal (rabbit origin)
Isotype Rabbit IgG
Purity Affinity purified
Buffer Lyophilized from 1X PBS with 2% Trehalose
UniProt Q29RF7
Localization Nuclear
Applications Western Blot : 1-2ug/ml
Immunofluorescence : 5ug/ml
Flow Cytometry : 1-3ug/million cells
Direct ELISA : 0.1-0.5ug/ml
Limitations This PSD5A antibody is available for research use only.
Review this product on BioCompare and get a $20 Amazon gift card

Description

Sister chromatid cohesion protein PDS5 homolog A is a protein that in humans is encoded by the PDS5A gene. The protein encoded by this gene binds to the cohesin complex and associates with chromatin through most of the cell cycle. The encoded protein may play a role in regulating sister chromatid cohesion during mitosis. Two transcript variants encoding different isoforms have been found for this gene.

Application Notes

Optimal dilution of the PSD5A antibody should be determined by the researcher.

Immunogen

An E. coli-derived human protein (amino acids M1-R1337) was used as the immunogen for the PSD5A antibody.

Storage

After reconstitution, the PSD5A antibody can be stored for up to one month at 4oC. For long-term, aliquot and store at -20oC. Avoid repeated freezing and thawing.

Cross
Bulk Quote Request Form
Name*:
Organization*:
Email*:
Phone Number*:
Catalog No.*:
Comments and Specifics(amount, formulation, etc.)*:
Validation code: Captchapackage Image


Can't read the image? click here to refresh.
    *required field

Your bulk quote request has been submitted successfully!

Please contact us if you have any questions.