• Tel: 858.663.9055
  • SeparatorEmail: info@nsjbio.com
  • Tel: 858.663.9055
  • Email: info@nsjbio.com
Home >> Antibodies >> PSD-95 Antibody / DLG4

PSD-95 Antibody / DLG4 (R31419)

  Catalog No Formulation Size Price (USD)  
Image R31419 0.5mg/ml if reconstituted with 0.2ml sterile DI water 100 ug 439
Bulk quote request
Immunofluorescent staining of FFPE rat brain tissue with PSD-95 antibody (red) and DAPI nuclear stain (blue). HIER: steam section in pH6 citrate buffer for 20 min.
IHC staining of FFPE rat brain tissue with PSD-95 antibody. HIER: boil tissue sections in pH8 EDTA for 20 min and allow to cool before testing.
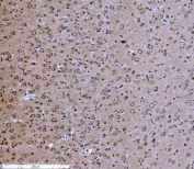
IHC staining of FFPE mouse brain tissue with PSD-95 antibody. HIER: boil tissue sections in pH8 EDTA for 20 min and allow to cool before testing.
Western blot testing of 1) rat brain, 2) mouse brain and 3) human U-87 MG cell lysate with PSD-95 antibody. Predicted molecular weight ~80 kDa but routinely observed at 90~95 kDa.
Western blot testing of mouse brain tissue lysate with PSD-95 antibody. Predicted molecular weight ~80 kDa but routinely observed at 90~95 kDa.
Availability 1-3 business days
Species Reactivity Human, Mouse, Rat
Format Antigen affinity purified
Clonality Polyclonal (rabbit origin)
Isotype Rabbit IgG
Purity Antigen affinity
Buffer Lyophilized from 1X PBS with 2% Trehalose
UniProt P78352
Localization Cytoplasmic
Applications Western Blot : 0.5-1ug/ml
Immunohistochemistry (FFPE) : 1-2ug/ml
Immunofluorescence : 5ug/ml
Limitations This PSD-95 antibody is available for research use only.
Review this product on BioCompare and get a $20 Amazon gift card

Related Products

  • Applications : WB, IHC
    Reactivity : Human, Mouse
    Recrabbitmono
  • Applications : WB, ELISA (peptide)
    Reactivity : Human, Mouse, Rat
    Pred. Reactivity : Dog, Cow
  • Applications : WB, FACS
    Reactivity : Human, Mouse, Rat
  • Applications : WB, FACS, Direct ELISA
    Reactivity : Human, Mouse, Rat

Description

DLG4 (Discs large homolog 4), also known as Post-synaptic density protein 95 (PSD-95) or SAP-90, is a protein that in humans is encoded by the DLG4 gene. It is a member of the membrane-associated guanylate kinase (MAGUK) family. DLG4 can heteromultimerize with another MAGUK protein, DLG2, and is recruited into NMDA receptor and potassium channel clusters. These two MAGUK proteins may interact at postsynaptic sites to form a multimeric scaffold for the clustering of receptors, ion channels, and associated signaling proteins. Overexpression of DLG4 in hippocampal neurons could drive maturation of glutamatergic synapses. DLG4 can orchestrate synaptic development and it has a role in synapse stabilization and plasticity. Ubiquitination of DLG4 through an MDM2-mediated pathway can regulate AMPA receptor surface expression during synaptic plasticity.

Application Notes

The stated application concentrations are suggested starting amounts. Titration of the PSD-95 antibody may be required due to differences in protocols and secondary/substrate sensitivity.

Immunogen

An amino acid sequence from the C-terminus of human PSD-95 (RRVERREWSRLKAKDW) was used as the immunogen for this PSD-95 antibody (100% homologous in human, mouse and rat).

Storage

After reconstitution, the PSD-95 antibody can be stored for up to one month at 4oC. For long-term, aliquot and store at -20oC. Avoid repeated freezing and thawing.

Cross
Bulk Quote Request Form
Name*:
Organization*:
Email*:
Phone Number*:
Catalog No.*:
Comments and Specifics(amount, formulation, etc.)*:
Validation code: Captchapackage Image


Can't read the image? click here to refresh.
    *required field

Your bulk quote request has been submitted successfully!

Please contact us if you have any questions.