• Tel: 858.663.9055
  • SeparatorEmail: info@nsjbio.com
  • Tel: 858.663.9055
  • Email: info@nsjbio.com
Home >> Antibodies >> PSAP Antibody

PSAP Antibody [clone SPM312] (V3315)

  Catalog No Formulation Size Price (USD)  
Image V3315-100UG 0.2 mg/ml in 1X PBS with 0.1 mg/ml BSA (US sourced) and 0.05% sodium azide 100 ug 539
Image
V3315-20UG 0.2 mg/ml in 1X PBS with 0.1 mg/ml BSA (US sourced) and 0.05% sodium azide 20 ug 249
Image
V3315SAF-100UG 1 mg/ml in 1X PBS; BSA free, sodium azide free 100 ug 539
Bulk quote request
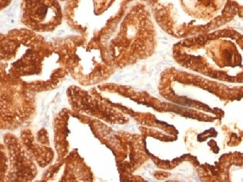
IHC testing of human prostate carcinoma with PSAP antibody (clone SPM312). Required HIER: boil tissue sections in pH 9 10mM Tris with 1mM EDTA for 10-20 min followed by cooling at RT for 20 min.
Species Reactivity Human
Format Purified
Clonality Monoclonal (mouse origin)
Isotype Mouse IgG1, kappa
Clone Name SPM312
Purity Protein G affinity chromatography
UniProt P15309
Gene ID 55
Localization Cytoplasmic
Applications Immunohistochemistry (FFPE) : 1-2ug/ml for 30 min at RT
Limitations This PSAP antibody is available for research use only.
Review this product on BioCompare and get a $20 Amazon gift card

Related Products

Description

Prostate specific acid phosphatase (PSAP) is an enzyme that catalyzes the conversion of orthophosphoric monoester to alcohol and orthophosphate. It is synthesized under androgen regulation and is secreted by the epithelial cells of the prostate gland. PSAP is found in non-neoplastic adult and fetal prostatic glands, primary and metastatic prostatic carcinomas. It shows no staining in granulocytes, osteoclasts, parietal cells of the stomach, liver cells, renal cell or breast carcinomas.

Application Notes

Titering of the PSAP antibody may be required for optimal performance.

Immunogen

PSAP purified from human seminal plasma was used as the immunogen for this PSAP antibody.

Storage

The PSAP antibody (with azide) can be stored at 2-8oC. The azide-free format should be aliquoted and stored at -20oC or colder.

Cross
Bulk Quote Request Form
Name*:
Organization*:
Email*:
Phone Number*:
Catalog No.*:
Comments and Specifics(amount, formulation, etc.)*:
Validation code: Captchapackage Image


Can't read the image? click here to refresh.
    *required field

Your bulk quote request has been submitted successfully!

Please contact us if you have any questions.