• Tel: 858.663.9055
  • SeparatorEmail: info@nsjbio.com
  • Tel: 858.663.9055
  • Email: info@nsjbio.com
Home >> Antibodies >> pS2 Antibody / Tff1

pS2 Antibody / Tff1 (R32898)

  Catalog No Formulation Size Price (USD)  
Image R32898 0.5mg/ml if reconstituted with 0.2ml sterile DI water 100 ug 439
Bulk quote request
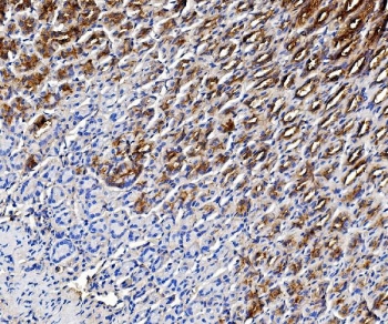
IHC testing of FFPE mouse stomach tissue with pS2 antibody at 1ug/ml. HIER: boil tissue sections in pH8 EDTA for 20 min and allow to cool before testing.
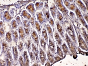
IHC testing of FFPE mouse stomach tissue with pS2 antibody at 1ug/ml. Required HIER: steam section in pH6 citrate buffer for 20 min and allow to cool prior to testing.
Western blot testing of mouse stomach lysate samples with pS2 antibody at 0.5ug/ml. Predicted molecular weight ~12 kDa.
Availability 1-3 business days
Species Reactivity Mouse
Format Antigen affinity purified
Clonality Polyclonal (rabbit origin)
Isotype Rabbit IgG
Purity Antigen affinity
Buffer Lyophilized from 1X PBS with 2.5% BSA, 0.025% sodium azide
UniProt Q08423
Localization Cytoplasmic, secreted
Applications Western Blot : 0.5-1ug/ml
Immunohistochemistry (FFPE) : 2-5ug/ml
Limitations This pS2 antibody is available for research use only.
Review this product on BioCompare and get a $20 Amazon gift card

Related Products

Description

TFF1 (Trefoil factor 1), also known as pS2, is a protein that in humans is encoded by the TFF1 gene. Members of the trefoil family are characterized by having at least one copy of the trefoil motif, a 40-amino acid domain that contains three conserved disulfides. They are stable secretory proteins expressed in gastrointestinal mucosa. Their functions are not defined, but they may protect the mucosa from insults, stabilize the mucus layer, and affect healing of the epithelium. It is found that TFF1 in normal human urine inhibited the growth of calcium oxalate crystals. Urinary TFF1 showed an inhibitory potency similar to that of nephrocalcin, and inhibition was dose dependent and inhibited by TFF1 antisera, particularly by antisera directed to the TFF1 C terminus. Concentrations and relative amounts of TFF1 in the urine of patients with idiopathic calcium oxalate kidney stones were significantly less than those found in controls. This gene, which is expressed in the gastric mucosa, has also been studied because of its expression in human tumors. This gene and two other related trefoil family member genes are found in a cluster on chromosome 21.

Application Notes

Optimal dilution of the pS2 antibody should be determined by the researcher.

Immunogen

A recombinant mouse protein corresponding to amino acids Q22-F87 was used as the immunogen for the Estrogen Inducible Protein pS2 antibody.

Storage

After reconstitution, the pS2 antibody can be stored for up to one month at 4oC. For long-term, aliquot and store at -20oC. Avoid repeated freezing and thawing.

Cross
Bulk Quote Request Form
Name*:
Organization*:
Email*:
Phone Number*:
Catalog No.*:
Comments and Specifics(amount, formulation, etc.)*:
Validation code: Captchapackage Image


Can't read the image? click here to refresh.
    *required field

Your bulk quote request has been submitted successfully!

Please contact us if you have any questions.